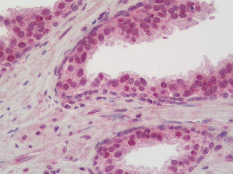
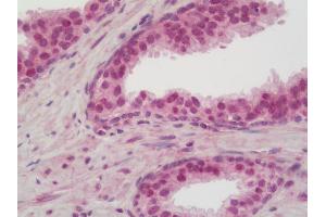
CDR2 anticorps (Biotin)
Aperçu rapide pour CDR2 anticorps (Biotin) (ABIN2569025)
Antigène
Voir toutes CDR2 AnticorpsReactivité
Hôte
Clonalité
Conjugué
Application
-
-
Specificité
- Human Yo / CDR2
-
Purification
- Caprylic acid and ammonium sulfate precipitation
-
Immunogène
-
Recombinant human Cerebellar degeneration-related protein 2 protein.
Type of Immunogen: Recombinant protein -
Isotype
- IgG
-
-
-
-
Indications d'application
-
Approved: ELISA, IHC, IHC-P, WB
Usage: The applications listed have been tested for the unconjugated form of this product. Other forms have not been tested. -
Commentaires
-
Target Species of Antibody: Human
-
Restrictions
- For Research Use only
-
-
-
Format
- Liquid
-
Concentration
- Lot specific
-
Buffer
- PBS, pH 7.4, 0.03 % Proclin 300, 50 % glycerol.
-
Agent conservateur
- ProClin
-
Précaution d'utilisation
- This product contains ProClin: a POISONOUS AND HAZARDOUS SUBSTANCE which should be handled by trained staff only.
-
Conseil sur la manipulation
- Avoid freeze-thaw cycles.
-
Stock
- -20 °C,-80 °C
-
Stockage commentaire
- Aliquot and store at -20°C or -80°C. Avoid freeze-thaw cycles.
-
-
- CDR2 (Cerebellar Degeneration-Related Protein 2, 62kDa (CDR2))
-
Autre désignation
- Yo / CDR2
-
Sujet
-
Name/Gene ID: CDR2
Synonyms: CDR2, CDR62, Yo paraneoplastic antigen, PCD17, Yo -
ID gène
- 1039
Antigène
-