Tel:
+49 (0)241 95 163 153
Fax:
+49 (0)241 95 163 155
E-Mail:
orders@anticorps-enligne.fr

TFG anticorps

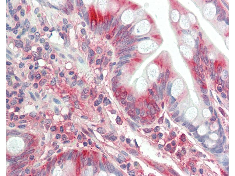
Cet anticorps anti-TFG Monoclonal Souris (Clone TFG-03) (ABIN2574046) détecte spécifiquement TFG dans WB, IHC, IP, ICC et IHC (p). L’anticorps est réactif avec des échantillons de Humain.
N° du produit ABIN2574046
512,07 €
Plus frais de livraison 40,00 € et TVA
0.05 mg
Destination: France
Envoi sous 15 à 20 jours ouvrables

Aperçu rapide pour TFG anticorps (ABIN2574046)

Antigène

Voir toutes TFG Anticorps
TFG (Trk-Fused Gene (TFG))

Reactivité

  • 56
  • 25
  • 21
Humain

Hôte

  • 49
  • 7
Souris

Clonalité

  • 32
  • 24
Monoclonal

Conjugué

  • 30
  • 4
  • 2
  • 2
  • 2
  • 2
  • 2
  • 2
  • 2
  • 2
  • 2
  • 2
  • 1
  • 1
Cet anticorp TFG est non-conjugé

Application

  • 47
  • 20
  • 19
  • 16
  • 12
  • 12
  • 1
  • 1
  • 1
  • 1
Western Blotting (WB), Immunohistochemistry (IHC), Immunoprecipitation (IP), Immunocytochemistry (ICC), Immunohistochemistry (Paraffin-embedded Sections) (IHC (p))

Clone

TFG-03
  • Specificité

    Monoclonal antibody TFG-03 recognizes TFG, an approximately 50 kD protein with regulatory functions.

    Purification

    Protein A purified

    Immunogène

    Human recombinant protein Trx-his-NTFG.

    Type of Immunogen: Recombinant protein

    Isotype

    IgG2b
  • Indications d'application

    Approved: ICC, IHC, IHC-P (5 μg/mL), IP, WB

    Usage: Immunohistochemistry: This antibody was validated for use in immunohistochemistry on a panel of 21 formalin-fixed, paraffin-embedded (FFPE) human tissues after heat induced antigen retrieval in  pH 6.0 citrate buffer. After incubation with the primary antibody

    Commentaires

    Target Species of Antibody: Human

    Restrictions

    For Research Use only
  • Format

    Liquid

    Concentration

    Lot specific

    Buffer

    PBS, 15 mM sodium azide, approx,  pH 7.4.

    Agent conservateur

    Sodium azide

    Précaution d'utilisation

    This product contains Sodium azide: a POISONOUS AND HAZARDOUS SUBSTANCE which should be handled by trained staff only.

    Conseil sur la manipulation

    Do not freeze.

    Stock

    4 °C

    Stockage commentaire

    Store at 2-8°C. Do not freeze.
  • Antigène

    TFG (Trk-Fused Gene (TFG))

    Autre désignation

    TFG

    Sujet

    Name/Gene ID: TFG

    Synonyms: TFG, HMSNP, Protein TFG, TRK-fused gene, TF6, TRK-fused gene protein, TRKT3, TRKT3 oncogene

    ID gène

    10342
Vous êtes ici:
Chat with us!