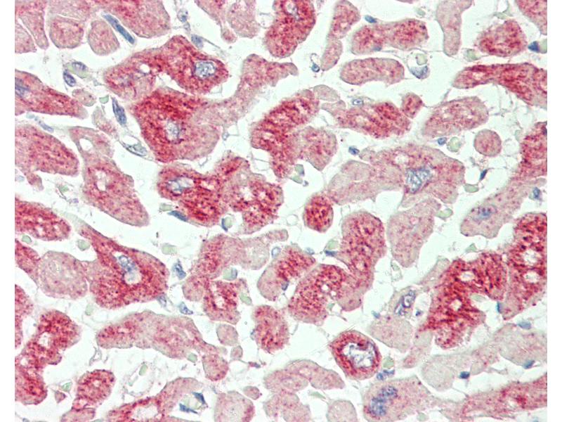
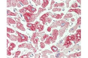
MTIF2 anticorps (AA 138-167)
Aperçu rapide pour MTIF2 anticorps (AA 138-167) (ABIN2584981)
Antigène
Voir toutes MTIF2 AnticorpsReactivité
Hôte
Clonalité
Conjugué
Application
-
-
Épitope
- AA 138-167
-
Specificité
- This MTIF2 antibody is generated from rabbits immunized with a KLH conjugated synthetic peptide between 138-167 amino acids from the N-terminal region of human MTIF2.
-
Purification
- Protein A purified
-
-
-
-
Indications d'application
- Approved: IHC, IHC-P (1:100), WB (1:1000)
-
Commentaires
-
Target Species of Antibody: Human
-
Restrictions
- For Research Use only
-
-
-
Format
- Liquid
-
Concentration
- Lot specific
-
Buffer
- PBS, 0.09 % sodium azide
-
Agent conservateur
- Sodium azide
-
Précaution d'utilisation
- This product contains Sodium azide: a POISONOUS AND HAZARDOUS SUBSTANCE which should be handled by trained staff only.
-
Stock
- 4 °C,-20 °C
-
Stockage commentaire
- Maintain refrigerated at 2-8°C for up to 6 months. For long term storage store at -20°C.
-
Date de péremption
- 6 months
-
-
- MTIF2 (Mitochondrial Translational Initiation Factor 2 (MTIF2))
-
Autre désignation
- MTIF2
-
Sujet
-
Name/Gene ID: MTIF2
Synonyms: MTIF2, IF-2(Mt), IF-2mt, IF2(mt) -
ID gène
- 4528
-
Pathways
- Ribonucleoprotein Complex Subunit Organization
Antigène
-