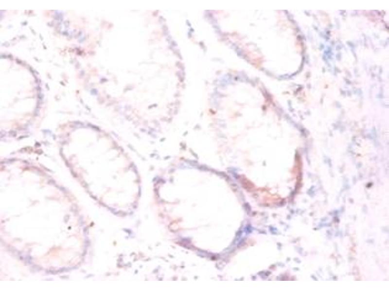
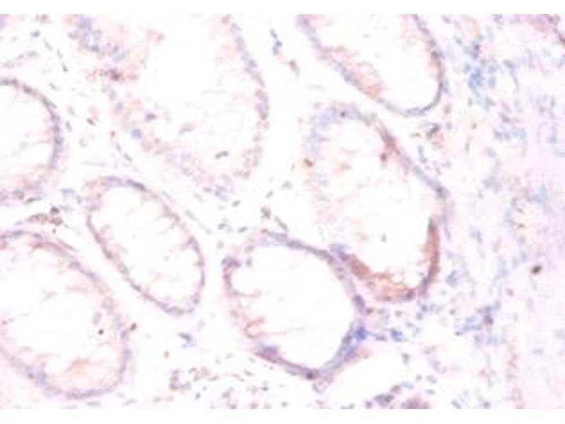
PSMA anticorps (HRP)
Aperçu rapide pour PSMA anticorps (HRP) (ABIN2602389)
Antigène
Voir toutes PSMA (FOLH1) AnticorpsReactivité
Hôte
Clonalité
Conjugué
Application
-
-
Specificité
- Human FOLH1 / PSMA
-
Purification
- Caprylic acid and ammonium sulfate precipitation
-
Immunogène
-
Recombinant human Glutamate carboxypeptidase 2 protein.
Type of Immunogen: Recombinant protein -
Isotype
- IgG
-
-
-
-
Indications d'application
-
Approved: ELISA, IHC, IHC-P, WB
Usage: The applications listed have been tested for the unconjugated form of this product. Other forms have not been tested. -
Commentaires
-
Target Species of Antibody: Human
-
Restrictions
- For Research Use only
-
-
-
Format
- Liquid
-
Concentration
- Lot specific
-
Buffer
- PBS, pH 7.4, 0.03 % Proclin 300, 50 % glycerol.
-
Agent conservateur
- ProClin
-
Précaution d'utilisation
- This product contains ProClin: a POISONOUS AND HAZARDOUS SUBSTANCE which should be handled by trained staff only.
-
Conseil sur la manipulation
- Avoid freeze-thaw cycles.
-
Stock
- -20 °C,-80 °C
-
Stockage commentaire
- Aliquot and store at -20°C or -80°C. Avoid freeze-thaw cycles.
-
-
- PSMA (FOLH1) (Folate Hydrolase (Prostate-Specific Membrane Antigen) 1 (FOLH1))
-
Autre désignation
- FOLH1 / PSMA
-
Sujet
-
Name/Gene ID: FOLH1
Subfamily: Metallopeptidase M28B
Synonyms: FOLH1, Folate hydrolase 1, GCPII, Glutamate carboxypeptidase II, Folate hydrolase, GCP2, NAALAD1, NAALAdase, NAALADase I, PSM, FGCP, FOLH, Glutamate carboxylase II, Glutamate carboxypeptidase 2, MGCP, PSMA -
ID gène
- 2346
Antigène
-