Tel:
+49 (0)241 95 163 153
Fax:
+49 (0)241 95 163 155
E-Mail:
orders@anticorps-enligne.fr

Tensin 1 anticorps (AA 902-914)

L’anticorps anti-Tensin 1 Polyclonal Chèvre est utilisé pour la détection de Tensin 1 dans des échantillons de Humain. Il a été validé pour ELISA et IHC.
N° du produit ABIN2613486
488,25 €
Plus frais de livraison 40,00 € et TVA
100 μg
Destination: France
Envoi sous 5 à 8 jours ouvrables

Aperçu rapide pour Tensin 1 anticorps (AA 902-914) (ABIN2613486)

Antigène

Voir toutes Tensin 1 (TNS1) Anticorps
Tensin 1 (TNS1)

Reactivité

  • 17
  • 8
  • 1
  • 1
Humain

Hôte

  • 14
  • 2
  • 1
Chèvre

Clonalité

  • 17
Polyclonal

Conjugué

  • 16
  • 1
Cet anticorp Tensin 1 est non-conjugé

Application

  • 15
  • 9
  • 4
  • 3
  • 2
  • 1
ELISA, Immunohistochemistry (IHC)

Classe de qualité

Verified
  • Épitope

    • 4
    • 2
    • 2
    • 2
    • 1
    • 1
    • 1
    • 1
    AA 902-914

    Fonction

    Tensin 1 (aa902-914)

    Séquence

    QYENQSPEAT SPR

     Réactivité croisée

    Boeuf (Vache), Humain, Souris, Rat

    Purification

    Purified from goat serum by ammonium sulphate precipitation followed by antigen affinity chromatography using the immunizing peptide.

    Isotype

    IgG
  • Indications d'application

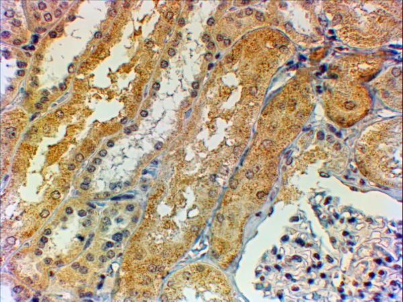
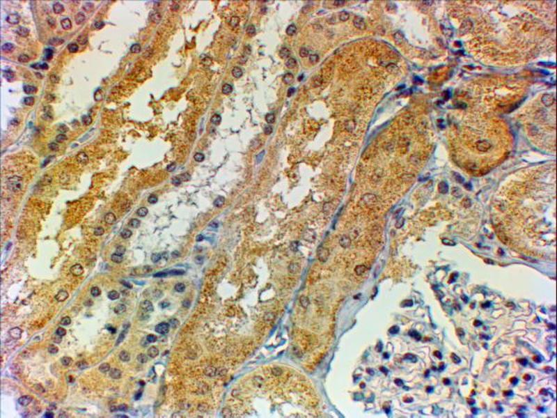
    Immunohistochemistry: In paraffin embedded Human Kidney shows preferential staining in cytoplasm of PCT over DCT. Recommended concentration, 2-4 μg/mL.

    Peptide ELISA: antibody detection limit dilution 1:32000.

    Restrictions

    For Research Use only
  • Format

    Liquid

    Concentration

    0.5 mg/mL

    Buffer

    Supplied at 0.5 mg/mL in Tris saline, 0.02 % sodium azide, pH 7.3 with 0.5 % bovine serum albumin.

    Agent conservateur

    Sodium azide

    Précaution d'utilisation

    This product contains Sodium azide: a POISONOUS AND HAZARDOUS SUBSTANCE which should be handled by trained staff only.

    Conseil sur la manipulation

    Minimize freezing and thawing.

    Stock

    -20 °C

    Stockage commentaire

    Aliquot and store at -20°C, with minimal freeze/thawing. A working aliquot may be refrigerated at 4°C for a few weeks and still remain viable.
  • Antigène

    Tensin 1 (TNS1)

    Autre désignation

    TNS1

    Sujet

    TNS1, tensin 1, DKFZp586K0617, MGC88584, MST091, MST122, MST127, MSTP122, MSTP127, MXRA6, TNS, Matrix-remodelling-associated protein 6, OTTHUMP00000207627, OTTHUMP00000207628, matrix-remodelling associated 6, tensin-1

    ID gène

    7145, 21961, 301509

    NCBI Accession

    NP_072174
Vous êtes ici:
Chat with us!