Tel:
+49 (0)241 95 163 153
Fax:
+49 (0)241 95 163 155
E-Mail:
orders@anticorps-enligne.fr

ADRM1 anticorps (AA 357-407)

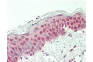
L’anticorps anti-ADRM1 Polyclonal Lapin est utilisé pour la détection de ADRM1 dans des échantillons de Humain et Souris. Il a été validé pour WB, IHC, IF, IP et IHC (p).
N° du produit ABIN2614884
610,95 €
Plus frais de livraison 40,00 € et TVA
50 μL
Destination: France
Envoi sous 15 à 20 jours ouvrables

Aperçu rapide pour ADRM1 anticorps (AA 357-407) (ABIN2614884)

Antigène

Voir toutes ADRM1 (Adrm1) Anticorps
ADRM1 (Adrm1) (Adhesion Regulating Molecule 1 (Adrm1))

Reactivité

  • 64
  • 18
  • 16
  • 4
  • 4
  • 4
  • 3
  • 2
  • 2
  • 2
  • 1
  • 1
  • 1
Humain, Souris

Hôte

  • 68
  • 5
Lapin

Clonalité

  • 59
  • 14
Polyclonal

Conjugué

  • 28
  • 7
  • 6
  • 5
  • 2
  • 2
  • 2
  • 2
  • 2
  • 2
  • 1
  • 1
  • 1
  • 1
  • 1
  • 1
  • 1
  • 1
  • 1
  • 1
  • 1
  • 1
  • 1
  • 1
  • 1
Cet anticorp ADRM1 est non-conjugé

Application

  • 37
  • 30
  • 19
  • 14
  • 13
  • 13
  • 13
  • 9
  • 7
  • 4
  • 3
  • 1
Western Blotting (WB), Immunohistochemistry (IHC), Immunofluorescence (IF), Immunoprecipitation (IP), Immunohistochemistry (Paraffin-embedded Sections) (IHC (p))
  • Épitope

    • 15
    • 9
    • 8
    • 8
    • 6
    • 4
    • 2
    • 2
    • 2
    • 1
    • 1
    • 1
    • 1
    • 1
    • 1
    • 1
    • 1
    AA 357-407

    Specificité

    Region between residue 357 and 407 of human adhesion regulating molecule 1 using the numbering given in entry NP_008933.2 (GeneID 11047).

    Purification

    Immunoaffinity purified

    Isotype

    IgG
  • Indications d'application

    Approved: IF (1:250 - 1:2000), IHC, IHC-P (7.5 μg/mL), IP (5 - 15 μg/mg lysate), WB (1:2000 - 1:10000)

    Usage: Immunohistochemistry: Antigen retrieval with citrate buffer  pH 6.0 is recommended for FFPE tissue sections. Human controls: Breast Carcinoma, Ovarian Carcinoma, Prostate Carcinoma.

    Commentaires

    Target Species of Antibody: Human

    Restrictions

    For Research Use only
  • Format

    Liquid

    Concentration

    Lot specific

    Buffer

    Tris-citrate/phosphate buffer,  pH 7-8, 0.09 % sodium azide.

    Agent conservateur

    Sodium azide

    Précaution d'utilisation

    This product contains Sodium azide: a POISONOUS AND HAZARDOUS SUBSTANCE which should be handled by trained staff only.

    Stock

    4 °C

    Stockage commentaire

    Store at 2-8°C for up to 1 year.

    Date de péremption

    12 months
  • Antigène

    ADRM1 (Adrm1) (Adhesion Regulating Molecule 1 (Adrm1))

    Autre désignation

    ADRM1

    Sujet

    Name/Gene ID: ADRM1

    Synonyms: ADRM1, Adhesion regulating molecule 1, Adhesion-regulating molecule 1, ARM1, gp110, HRpn13, Rpn13 homolog, M(r) 110,000 surface antigen, ARM-1, Rpn13

    ID gène

    11047

    Pathways

    Positive Regulation of Endopeptidase Activity
Vous êtes ici:
Chat with us!