Tel:
+49 (0)241 95 163 153
Fax:
+49 (0)241 95 163 155
E-Mail:
orders@anticorps-enligne.fr

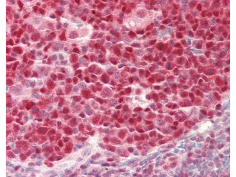
TCEA1 anticorps (AA 200-250)

Cet anticorps anti-TCEA1 Polyclonal Lapin (ABIN2628976) détecte spécifiquement TCEA1 dans WB, IHC, IF et IHC (p). L’anticorps est réactif avec des échantillons de Humain, Souris, Rat, Chien, Cobaye, Cheval, Lapin, Boeuf (Vache) et Porc.
N° du produit ABIN2628976
610,95 €
Plus frais de livraison 40,00 € et TVA
50 μL
Destination: France
Envoi sous 15 à 20 jours ouvrables

Aperçu rapide pour TCEA1 anticorps (AA 200-250) (ABIN2628976)

Antigène

Voir toutes TCEA1 Anticorps
TCEA1 (Transcription Elongation Factor A Protein 1 (TCEA1))

Reactivité

  • 57
  • 33
  • 33
  • 9
  • 8
  • 7
  • 5
  • 5
  • 4
  • 4
  • 3
  • 3
  • 2
  • 2
  • 1
  • 1
  • 1
  • 1
Humain, Souris, Rat, Chien, Cobaye, Cheval, Lapin, Boeuf (Vache), Porc

Hôte

  • 55
  • 2
Lapin

Clonalité

  • 30
  • 27
Polyclonal

Conjugué

  • 34
  • 3
  • 2
  • 2
  • 2
  • 2
  • 2
  • 2
  • 2
  • 2
  • 1
  • 1
  • 1
  • 1
Cet anticorp TCEA1 est non-conjugé

Application

  • 54
  • 39
  • 25
  • 23
  • 15
  • 12
  • 5
  • 4
  • 1
Western Blotting (WB), Immunohistochemistry (IHC), Immunofluorescence (IF), Immunohistochemistry (Paraffin-embedded Sections) (IHC (p))
  • Épitope

    • 8
    • 3
    • 2
    • 2
    • 2
    • 2
    • 2
    • 1
    • 1
    • 1
    • 1
    • 1
    • 1
    • 1
    • 1
    AA 200-250

    Specificité

    Region between residue 200 and 250 of human transcription elongation factor S-II (transcription elongation factor A (SII), 1) using the numbering given in entry NP_006747.1 (GeneID 6917).

    Purification

    Immunoaffinity purified

    Isotype

    IgG
  • Indications d'application

    Approved: IF (1:100 - 1:500), IHC, IHC-P (1:50 - 1:100), WB (1:2000 - 1:10000)

    Usage: Immunohistochemistry: Antigen retrieval with citrate buffer  pH 6.0 is recommended for FFPE tissue sections. Human controls: Breast Carcinoma, Ovarian Carcinoma, Prostate Carcinoma.

    Not recommended for: IP

    Commentaires

    Target Species of Antibody: Human

    Restrictions

    For Research Use only
  • Format

    Liquid

    Concentration

    Lot specific

    Buffer

    Tris-buffered saline, 0.1 % BSA, 0.09 % sodium azide.

    Agent conservateur

    Sodium azide

    Précaution d'utilisation

    This product contains Sodium azide: a POISONOUS AND HAZARDOUS SUBSTANCE which should be handled by trained staff only.

    Stock

    4 °C

    Stockage commentaire

    Store at 2-8°C for up to 1 year.

    Date de péremption

    12 months
  • Antigène

    TCEA1 (Transcription Elongation Factor A Protein 1 (TCEA1))

    Autre désignation

    TCEA1 / TFIIS

    Sujet

    Name/Gene ID: TCEA1

    Synonyms: TCEA1, GTF2S, SII, TCEA, TFIIS

    ID gène

    6917
Vous êtes ici:
Chat with us!