Tel:
+49 (0)241 95 163 153
Fax:
+49 (0)241 95 163 155
E-Mail:
orders@anticorps-enligne.fr

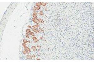
TLR4 /MD2 Complex anticorps

Cet anticorps Rat Monoclonal détecte spécifiquement TLR4 /MD2 Complex dans IP, IHC, WB, ELISA, ELISA (Capture), ELISPOT (Detection) et ICFC. Il présente une réactivité avec des échantillons de Souris.
N° du produit ABIN2665420
141,06 €
Plus frais de livraison 40,00 € et TVA
Destination: France
Envoi sous 7 à 9 jours ouvrables

Aperçu rapide pour TLR4 /MD2 Complex anticorps (ABIN2665420)

Antigène

TLR4 /MD2 Complex

Reactivité

  • 13
  • 2
Souris

Hôte

  • 13
  • 2
Rat

Clonalité

  • 15
Monoclonal

Conjugué

  • 7
  • 4
  • 1
  • 1
  • 1
  • 1
Inconjugué

Application

  • 15
  • 6
  • 2
  • 1
  • 1
  • 1
  • 1
  • 1
  • 1
Immunoprecipitation (IP), Immunohistochemistry (IHC), Western Blotting (WB), ELISA, ELISA (Capture), ELISpot (Detection) (ELISPOT (Detection)), Intracellular Flow Cytometry (ICFC)

Clone

MTS510
  • Purification

    The antibody was purified by affinity chromatography.

    Isotype

    IgG2a kappa
  • Indications d'application

    Optimal working dilution should be determined by the investigator.

    Restrictions

    For Research Use only
  • Concentration

    0.5 mg/mL

    Buffer

    Phosphate-buffered solution, pH 7.2, containing 0.09 % sodium azide.

    Agent conservateur

    Sodium azide

    Précaution d'utilisation

    This product contains Sodium azide: a POISONOUS AND HAZARDOUS SUBSTANCE which should be handled by trained staff only.

    Stock

    4 °C

    Stockage commentaire

    The antibody solution should be stored undiluted between 2°C and 8°C.
  • Antigène

    TLR4 /MD2 Complex

    Sujet

    Toll-like receptors are highly conserved from Drosophila to humans and share structural and functional similarities. They are type I transmembrane signaling receptors which activate the innate immune system in response to pathogen invasion. So far, at least 13 TLR members have been identified. The secretory protein, MD2, associates with cell-surface bound TLR4 (CD284) on monocytes, B cells and T cells. TLR4 has been recognized as critical for host recognition of bacterial LPS in conjunction with MD2.
Vous êtes ici:
Chat with us!