Tel:
+49 (0)241 95 163 153
Fax:
+49 (0)241 95 163 155
E-Mail:
orders@anticorps-enligne.fr

IdU anticorps

L’anticorps anti-IdU Monoclonal Souris est utilisé pour la détection de IdU dans des échantillons de Chemical. Il a été validé pour IHC et IF. L’anticorps a en outre été validé indépendamment.
N° du produit ABIN2669973
627,08 €
Plus frais de livraison 40,00 € et TVA
100 μL
Destination: France
Envoi sous 7 à 9 jours ouvrables

Aperçu rapide pour IdU anticorps (ABIN2669973)

Antigène

IdU (Iododeoxyuridine (IdU))

Reactivité

  • 6
  • 5
Chemical

Hôte

  • 8
  • 3
Souris

Clonalité

  • 11
Monoclonal

Conjugué

  • 11
Cet anticorp IdU est non-conjugé

Application

  • 7
  • 5
  • 4
  • 3
  • 3
  • 1
  • 1
  • 1
Immunohistochemistry (IHC), Immunofluorescence (IF)

Clone

OTI2B10
  • Purification

    Purified from mouse ascites fluids by affinity chromatography

    Immunogène

    Iododeoxyuridine coupled to keyhole limpet hemocyanin.

    Isotype

    IgG2b
  • Indications d'application

    IHC 1:150, IF 1:150,

    Restrictions

    For Research Use only
  • Validation #103750 (Immunohistochemistry)
    'Independent Validation' signe
    by
    Prof. Merighi, Laboratory of Neurobiology, Department of Veterinary Sciences, University of Turin
    No.
    #103750
    Date
    19.04.2019
    Antigène
    IdU
    Numéro du lot
    W001
    Application validée
    Immunohistochemistry
    Contrôle positif

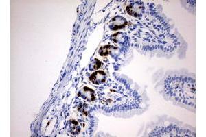
    Adult (24 months) mouse brain and intestine (duodenum)

    Contrôle négative

    We incubated slices overnight with the blocking solution only and then processed them with the secondary antibody.

    Conclusion

    Passed. ABIN2669973 works in IHC-P with a microwave antigen retrieval pretreatment and concentration of 1:50.

    'Independent Validation' signe
    Validation Images
    Protocole
    Anticorps primaire
    ABIN2669973
    Anticorps secondaire
    goat anti-mouse AF594-conjugated (Invitrogen by Thermo Fisher Scientific, A11032, lot 819561)
    Full Protocol
    • Inject mouse intraperitoneally at the dose of 0.057mg/g body weight with IdU (Sigma, I7125) dissolved in sterile distilled water at final concentration of 100mg/ml, pH7.5.
    • Perfuse mouse with 4% paraformaldehyde in 0.1M phosphate buffer (PB) pH7.4 and post-fix samples in the same fixative for an additional 2h at RT.
    • Wash, dehydrate, and embed samples in paraffin wax.
    • Following several washes in PBS, cut intestines and brain with a microtome (6µm-thick sections) and mount sections on glass slides.
    • After paraffin removal, process sections by microwave antigen retrieval for 10min (95-100°C) in 10mM sodium citrate buffer pH6.0.
    • Let sections cool for 20min.
    • Wash sections 2x 5min with distilled water.
    • Wash sections 5min with PBS.
    • Incubate sections in PBS containing 1% albumin from chicken egg white (Sigma, A5378) and 0.3% Triton-X-100 (BioRad, 161-0407, lot 00583) for 1h at RT to block non-specific binding sites.
    • Incubate sections with primary antibody mouse anti-IdU (antibodies-online, ABIN2669973, lot W001) diluted 1:50 in PBS-BSA-PLL ON at 4°C.
    • Wash sections 3x 5min with 0.01M PBS.
    • Incubate sections with secondary goat anti-mouse AF594-conjugated (Invitrogen by Thermo Fisher Scientific, A11032, lot 819561) diluted 1:500 in 0.1M PBS for 1h at RT.
    • Wash sections 3x 5min with 0.01M PBS.
    • Mount sections in Fluoroshield (Sigma, F6182, lot MKCB0153V).
    • Acquire images with Leica DM 6000B fluorescence microscope equipped with the manufacturer’s FITC filter set and digital camera at magnifications of 20x and 40x. Parameters for image acquisition (Exposure 2.2s, Gain 2.3x, Saturation 1.5, Gamma 1.10) were maintained unchanged for all images.
    Notes

    For the incubation with the primary antibody ABIN2669973 and 1:20, 1:70, and 1:100 dilutions were also tested with 0.01M PBS, 5% Normal Goat Serum (NGS Sigma, G9023, lot SLBV1396) and 0.1% Triton-X -100 as the blocking solution, but 1:50 and PBS containing 1% albumin from chicken egg white and 0.3% Triton-X gave the best results.

  • Format

    Liquid

    Concentration

    4.54 mg/mL
  • Antigène

    IdU (Iododeoxyuridine (IdU))

    Autre désignation

    IdU
Vous êtes ici:
Chat with us!