×
Pour une meilleure utilisation, nous vous conseillons d’activer Javascript dans votre navigateur.
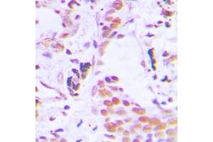
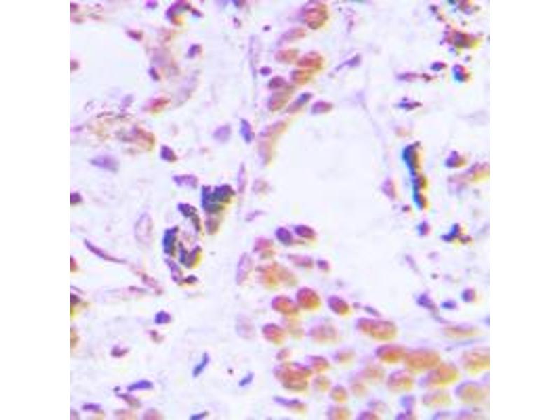
TCEB3C anticorps (C-Term)
Cet anticorps anti-TCEB3C Polyclonal Lapin (ABIN7298584) détecte spécifiquement TCEB3C dans WB, IF et IHC.
L’anticorps est réactif avec des échantillons de Humain, Souris et Rat.
N° du produit ABIN7298584
330,77 €
Plus frais de livraison 40,00 € et TVA
30 μL ABIN7298585
50 μL ABIN7682154
100 μL ABIN7298584
200 μL ABIN2705282
30 μL ABIN7298585
50 μL ABIN7682154
100 μL ABIN7298584
200 μL ABIN2705282
Envoi sous 17 à 20 jours ouvrables
Aperçu rapide pour TCEB3C anticorps (C-Term) (ABIN7298584)
Antigène
TCEB3C
(Transcription Elongation Factor B Polypeptide 3C (Elongin A3) (TCEB3C))
Reactivité
Humain, Souris, Rat
Hôte
Toutes les hôtes sur TCEB3C Anticorps
Lapin
Clonalité
Toutes les clonalités sur TCEB3C Anticorps
Polyclonal
Conjugué
Tous les conjugués à travers TCEB3C Anticorps
Cet anticorp TCEB3C est non-conjugé
Application
Tous les applications à travers TCEB3C Anticorps.
Western Blotting (WB), Immunofluorescence (IF), Immunohistochemistry (IHC)
Détail du produit anti-TCEB3C anticorps
(cache)
Épitope
Tous les épitopes à travers TCEB3C Anticorps.
C-Term
Fonction
Rabbit polyclonal antibody to TCEB3C
Specificité
Recognizes endogenous levels of TCEB3C protein.
Attributs du produit
Rabbit polyclonal antibody to TCEB3C
Purification
The antibody was purified by immunogen affinity chromatography.
Immunogène
KLH-conjugated synthetic peptide encompassing a sequence within the C-term region of human TCEB3C. The exact sequence is proprietary.
Alternatives
(show)
Information d'application
(cache)
Indications d'application
WB (1/500 - 1/1000), IH (1/100 - 1/200), IF/IC (1/100 - 1/500)
Restrictions
For Research Use only
Stockage
(cache)
Format
Liquid
Buffer
Liquid in 0.42 % Potassium phosphate, 0.87 % Sodium chloride, pH 7.3, 30 % glycerol, and 0.01 % sodium azide.
Agent conservateur
Sodium azide
Précaution d'utilisation
This product contains Sodium azide: a POISONOUS AND HAZARDOUS SUBSTANCE which should be handled by trained staff only.
Stock
-20 °C
Stockage commentaire
Shipped at 4°C. Upon delivery aliquot and store at -20°C for one year. Avoid freeze/thaw cycles.
Date de péremption
12 months
Détails sur TCEB3C
(cache)
Antigène
TCEB3C
(Transcription Elongation Factor B Polypeptide 3C (Elongin A3) (TCEB3C))
Autre désignation
TCEB3C
Sujet
TCEB3L2, RNA polymerase II transcription factor SIII subunit A3, Elongin-A3, EloA3, Transcription elongation factor B polypeptide 3C
ID gène
101930165
UniProt
Q8NG57
Vus récemment
(cache)
Chat with us , powered by LiveChat