Tel:
+49 (0)241 95 163 153
Fax:
+49 (0)241 95 163 155
E-Mail:
orders@anticorps-enligne.fr

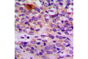
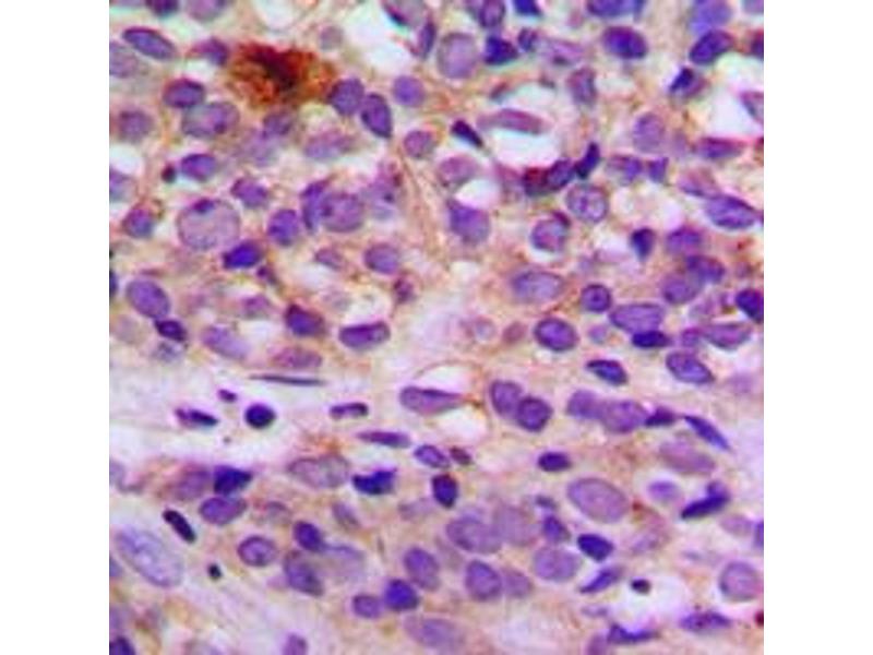
ARRDC4 anticorps (Center)

Cet anticorps Lapin Polyclonal détecte spécifiquement ARRDC4 dans WB, IHC et IF. Il présente une réactivité avec des échantillons de Humain et Singe.
N° du produit ABIN7300374
330,77 €
Plus frais de livraison 40,00 € et TVA
Destination: France
Envoi sous 17 à 20 jours ouvrables

Aperçu rapide pour ARRDC4 anticorps (Center) (ABIN7300374)

Antigène

ARRDC4 (Arrestin Domain Containing 4 (ARRDC4))

Reactivité

  • 10
  • 4
  • 4
  • 4
  • 4
  • 3
  • 3
  • 3
  • 2
  • 2
  • 2
  • 1
  • 1
Humain, Singe

Hôte

  • 10
Lapin

Clonalité

  • 10
Polyclonal

Conjugué

  • 10
Cet anticorp ARRDC4 est non-conjugé

Application

  • 10
  • 5
  • 4
  • 3
  • 2
  • 1
Western Blotting (WB), Immunohistochemistry (IHC), Immunofluorescence (IF)
  • Épitope

    • 3
    • 2
    • 2
    • 1
    • 1
    • 1
    Center

    Fonction

    Rabbit polyclonal antibody to ARRDC4

    Specificité

    Recognizes endogenous levels of ARRDC4 protein.

    Attributs du produit

    Rabbit polyclonal antibody to ARRDC4

    Purification

    The antibody was purified by immunogen affinity chromatography.

    Immunogène

    KLH-conjugated synthetic peptide encompassing a sequence within the center region of human ARRDC4. The exact sequence is proprietary.
  • Indications d'application

    WB (1/500 - 1/1000), IH (1/100 - 1/200), IF/IC (1/100 - 1/500)

    Restrictions

    For Research Use only
  • Format

    Liquid

    Buffer

    Liquid in 0.42 % Potassium phosphate, 0.87 % Sodium chloride, pH 7.3, 30 % glycerol, and 0.01 % sodium azide.

    Agent conservateur

    Sodium azide

    Précaution d'utilisation

    This product contains Sodium azide: a POISONOUS AND HAZARDOUS SUBSTANCE which should be handled by trained staff only.

    Stock

    -20 °C

    Stockage commentaire

    Shipped at 4°C. Upon delivery aliquot and store at -20°C for one year. Avoid freeze/thaw cycles.

    Date de péremption

    12 months
  • Antigène

    ARRDC4 (Arrestin Domain Containing 4 (ARRDC4))

    Autre désignation

    ARRDC4

    Sujet

    Arrestin domain-containing protein 4

    ID gène

    91947, 293019

    UniProt

    Q8NCT1
Vous êtes ici:
Chat with us!