×
Pour une meilleure utilisation, nous vous conseillons d’activer Javascript dans votre navigateur.
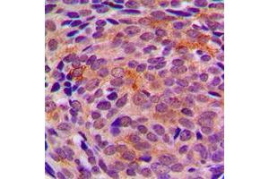
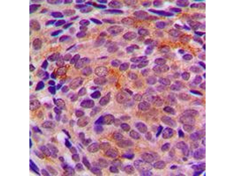
LYPLA1 anticorps (Center)
Cet anticorps anti-LYPLA1 Polyclonal Lapin (ABIN7299580) détecte spécifiquement LYPLA1 dans WB, IHC et IF.
L’anticorps est réactif avec des échantillons de Humain, Souris, Rat et Lapin.
N° du produit ABIN7299580
330,77 €
Plus frais de livraison 40,00 € et TVA
30 μL ABIN7299581
50 μL ABIN7682672
100 μL ABIN7299580
200 μL ABIN2706494
30 μL ABIN7299581
50 μL ABIN7682672
100 μL ABIN7299580
200 μL ABIN2706494
Envoi sous 17 à 20 jours ouvrables
Aperçu rapide pour LYPLA1 anticorps (Center) (ABIN7299580)
Antigène
Voir toutes LYPLA1 Anticorps
LYPLA1
(Lysophospholipase I (LYPLA1))
Reactivité
Toutes les réactivités sur LYPLA1 Anticorps
Humain, Souris, Rat, Lapin
Hôte
Toutes les hôtes sur LYPLA1 Anticorps
Lapin
Clonalité
Toutes les clonalités sur LYPLA1 Anticorps
Polyclonal
Conjugué
Tous les conjugués à travers LYPLA1 Anticorps
Cet anticorp LYPLA1 est non-conjugé
Application
Tous les applications à travers LYPLA1 Anticorps.
Western Blotting (WB), Immunohistochemistry (IHC), Immunofluorescence (IF)
Détail du produit anti-LYPLA1 anticorps
(cache)
Épitope
Tous les épitopes à travers LYPLA1 Anticorps.
Center
Fonction
Rabbit polyclonal antibody to LYPLA1
Specificité
Recognizes endogenous levels of LYPLA1 protein.
Attributs du produit
Rabbit polyclonal antibody to LYPLA1
Purification
The antibody was purified by immunogen affinity chromatography.
Immunogène
KLH-conjugated synthetic peptide encompassing a sequence within the center region of human LYPLA1. The exact sequence is proprietary.
Alternatives
(show)
Information d'application
(cache)
Indications d'application
WB (1/500 - 1/1000), IH (1/100 - 1/200), IF/IC (1/100 - 1/500)
Restrictions
For Research Use only
Stockage
(cache)
Format
Liquid
Buffer
Liquid in 0.42 % Potassium phosphate, 0.87 % Sodium chloride, pH 7.3, 30 % glycerol, and 0.01 % sodium azide.
Agent conservateur
Sodium azide
Précaution d'utilisation
This product contains Sodium azide: a POISONOUS AND HAZARDOUS SUBSTANCE which should be handled by trained staff only.
Stock
-20 °C
Stockage commentaire
Shipped at 4°C. Upon delivery aliquot and store at -20°C for one year. Avoid freeze/thaw cycles.
Date de péremption
12 months
Détails sur LYPLA1
(cache)
Antigène
LYPLA1
(Lysophospholipase I (LYPLA1))
Autre désignation
LYPLA1
Sujet
APT1, LPL1, Acyl-protein thioesterase 1, APT-1, hAPT1, Lysophospholipase 1, Lysophospholipase I, LPL-I, LysoPLA I
ID gène
10434, 18777, 25514
UniProt
O75608
Vus récemment
(cache)
Chat with us , powered by LiveChat