×
Pour une meilleure utilisation, nous vous conseillons d’activer Javascript dans votre navigateur.
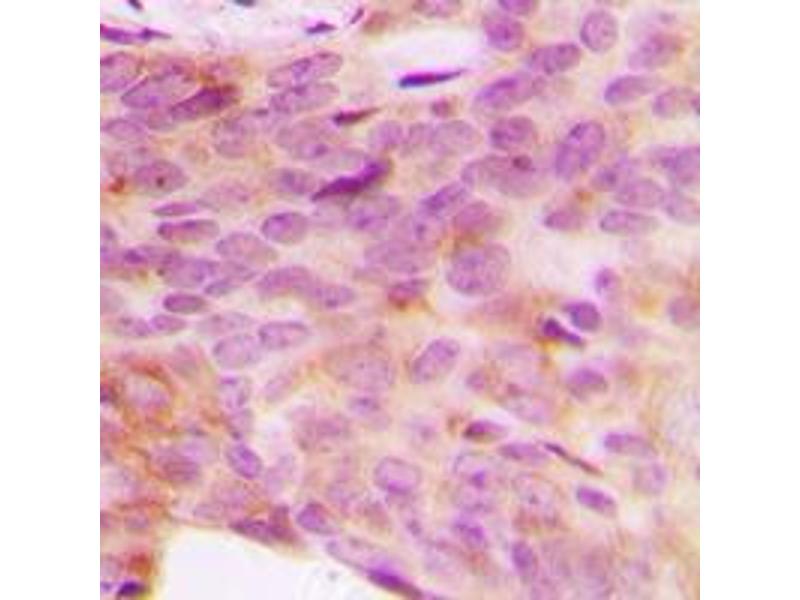
NDUFV3 anticorps (Center)
L’anticorps anti-NDUFV3 Polyclonal Lapin est utilisé pour la détection de NDUFV3 dans des échantillons de Humain, Rat et Souris. Il a été validé pour IHC et WB.
N° du produit ABIN7301052
330,77 €
Plus frais de livraison 40,00 € et TVA
30 μL ABIN7301053
50 μL ABIN7683546
100 μL ABIN7301052
200 μL ABIN2706664
30 μL ABIN7301053
50 μL ABIN7683546
100 μL ABIN7301052
200 μL ABIN2706664
Envoi sous 17 à 20 jours ouvrables
Aperçu rapide pour NDUFV3 anticorps (Center) (ABIN7301052)
Antigène
Voir toutes NDUFV3 Anticorps
NDUFV3
(NADH Dehydrogenase (Ubiquinone) Flavoprotein 3, 10kDa (NDUFV3))
Reactivité
Toutes les réactivités sur NDUFV3 Anticorps
Humain, Rat, Souris
Hôte
Toutes les hôtes sur NDUFV3 Anticorps
Lapin
Clonalité
Toutes les clonalités sur NDUFV3 Anticorps
Polyclonal
Conjugué
Tous les conjugués à travers NDUFV3 Anticorps
Cet anticorp NDUFV3 est non-conjugé
Application
Tous les applications à travers NDUFV3 Anticorps.
Immunohistochemistry (IHC), Western Blotting (WB)
Détail du produit anti-NDUFV3 anticorps
(cache)
Épitope
Tous les épitopes à travers NDUFV3 Anticorps.
Center
Fonction
Rabbit polyclonal antibody to NDUFV3
Specificité
Recognizes endogenous levels of NDUFV3 protein.
Attributs du produit
Rabbit polyclonal antibody to NDUFV3
Purification
The antibody was purified by immunogen affinity chromatography.
Immunogène
KLH-conjugated synthetic peptide encompassing a sequence within the center region of human NDUFV3. The exact sequence is proprietary.
Alternatives
(show)
Information d'application
(cache)
Indications d'application
WB (1/500 - 1/1000), IH (1/100 - 1/200)
Restrictions
For Research Use only
Stockage
(cache)
Format
Liquid
Buffer
Liquid in 0.42 % Potassium phosphate, 0.87 % Sodium chloride, pH 7.3, 30 % glycerol, and 0.01 % sodium azide.
Agent conservateur
Sodium azide
Précaution d'utilisation
This product contains Sodium azide: a POISONOUS AND HAZARDOUS SUBSTANCE which should be handled by trained staff only.
Stock
-20 °C
Stockage commentaire
Shipped at 4°C. Upon delivery aliquot and store at -20°C for one year. Avoid freeze/thaw cycles.
Date de péremption
12 months
Détails sur NDUFV3
(cache)
Antigène
NDUFV3
(NADH Dehydrogenase (Ubiquinone) Flavoprotein 3, 10kDa (NDUFV3))
Autre désignation
NDUFV3
Sujet
NADH dehydrogenase [ubiquinone] flavoprotein 3, mitochondrial, Complex I-9kD, CI-9kD, NADH-ubiquinone oxidoreductase 9 kDa subunit, Renal carcinoma antigen NY-REN-4
ID gène
4731, 78330, 64539
UniProt
P56181
Vus récemment
(cache)
Chat with us , powered by LiveChat