×
Pour une meilleure utilisation, nous vous conseillons d’activer Javascript dans votre navigateur.
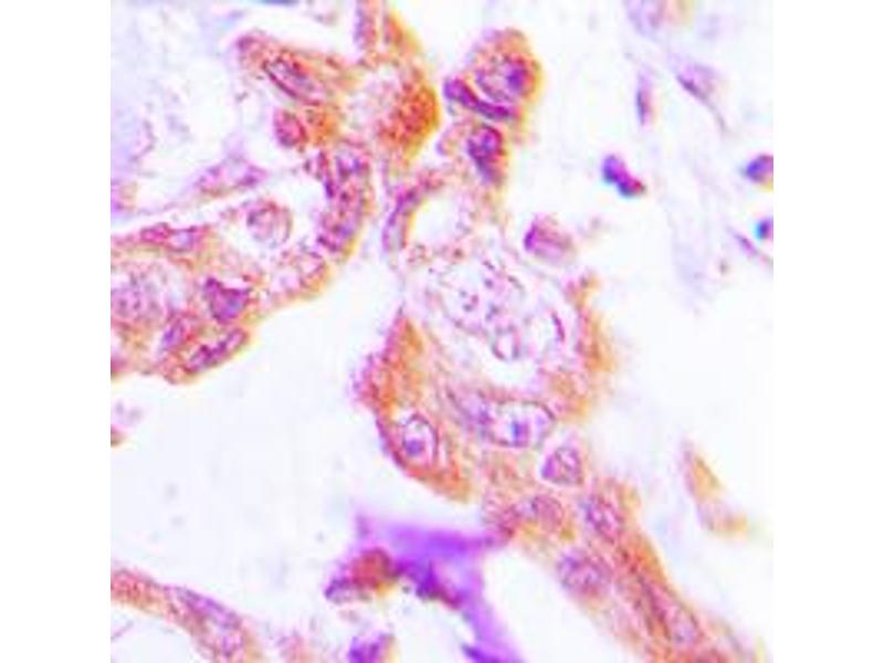
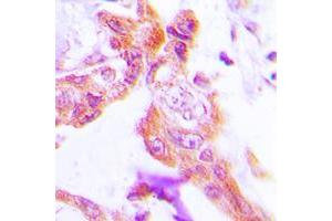
GUCY1B2 anticorps (N-Term)
L’anticorps anti-GUCY1B2 Polyclonal Lapin est utilisé pour la détection de GUCY1B2 dans des échantillons de Humain, Souris et Rat. Il a été validé pour IHC et WB.
N° du produit ABIN7299284
330,77 €
Plus frais de livraison 40,00 € et TVA
30 μL ABIN7299285
50 μL ABIN7682506
100 μL ABIN7299284
200 μL ABIN2707543
30 μL ABIN7299285
50 μL ABIN7682506
100 μL ABIN7299284
200 μL ABIN2707543
Envoi sous 17 à 20 jours ouvrables
Aperçu rapide pour GUCY1B2 anticorps (N-Term) (ABIN7299284)
Antigène
Voir toutes GUCY1B2 Anticorps
GUCY1B2
(Guanylate Cyclase 1, Soluble, beta 2 (GUCY1B2))
Reactivité
Humain, Souris, Rat
Hôte
Toutes les hôtes sur GUCY1B2 Anticorps
Lapin
Clonalité
Toutes les clonalités sur GUCY1B2 Anticorps
Polyclonal
Conjugué
Tous les conjugués à travers GUCY1B2 Anticorps
Cet anticorp GUCY1B2 est non-conjugé
Application
Tous les applications à travers GUCY1B2 Anticorps.
Immunohistochemistry (IHC), Western Blotting (WB)
Détail du produit anti-GUCY1B2 anticorps
(cache)
Épitope
Tous les épitopes à travers GUCY1B2 Anticorps.
N-Term
Fonction
Rabbit polyclonal antibody to GUCY1B2
Specificité
Recognizes endogenous levels of GUCY1B2 protein.
Attributs du produit
Rabbit polyclonal antibody to GUCY1B2
Purification
The antibody was purified by immunogen affinity chromatography.
Immunogène
KLH-conjugated synthetic peptide encompassing a sequence within the N-term region of human GUCY1B2. The exact sequence is proprietary.
Alternatives
(show)
Information d'application
(cache)
Indications d'application
WB (1/500 - 1/1000), IH (1/100 - 1/200)
Restrictions
For Research Use only
Stockage
(cache)
Format
Liquid
Buffer
Liquid in 0.42 % Potassium phosphate, 0.87 % Sodium chloride, pH 7.3, 30 % glycerol, and 0.01 % sodium azide.
Agent conservateur
Sodium azide
Précaution d'utilisation
This product contains Sodium azide: a POISONOUS AND HAZARDOUS SUBSTANCE which should be handled by trained staff only.
Stock
-20 °C
Stockage commentaire
Shipped at 4°C. Upon delivery aliquot and store at -20°C for one year. Avoid freeze/thaw cycles.
Date de péremption
12 months
Détails sur GUCY1B2
(cache)
Antigène
GUCY1B2
(Guanylate Cyclase 1, Soluble, beta 2 (GUCY1B2))
Autre désignation
GUCY1B2
Sujet
Guanylate cyclase soluble subunit beta-2, GCS-beta-2
ID gène
2974, 25206
UniProt
O75343
Vus récemment
(cache)
Chat with us , powered by LiveChat