Tel:
+49 (0)241 95 163 153
Fax:
+49 (0)241 95 163 155
E-Mail:
orders@anticorps-enligne.fr

Amelotin anticorps

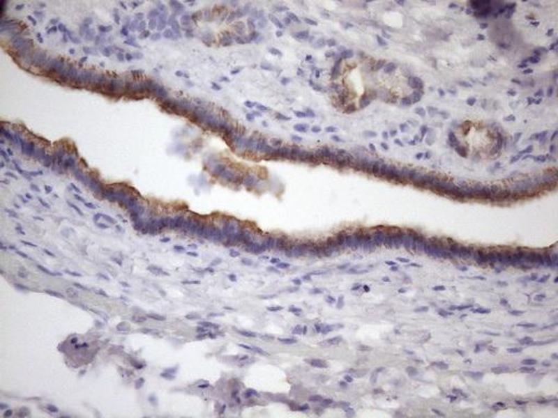
Cet anticorps anti-Amelotin Monoclonal Souris (Clone OTI2D9) (ABIN2716038) détecte spécifiquement Amelotin dans WB et IHC. L’anticorps est réactif avec des échantillons de Humain.
N° du produit ABIN2716038
627,08 €
Plus frais de livraison 40,00 € et TVA
0.1 mL
Destination: France
Envoi sous 7 à 9 jours ouvrables

Aperçu rapide pour Amelotin anticorps (ABIN2716038)

Antigène

Voir toutes Amelotin (AMTN) Anticorps
Amelotin (AMTN)

Reactivité

Humain

Hôte

  • 14
  • 2
Souris

Clonalité

  • 14
  • 2
Monoclonal

Conjugué

  • 7
  • 3
  • 2
  • 2
  • 1
  • 1
Cet anticorp Amelotin est non-conjugé

Application

  • 11
  • 11
  • 2
Western Blotting (WB), Immunohistochemistry (IHC)

Clone

OTI2D9
  • Purification

    Purified from cell culture supernatant by affinity chromatography

    Immunogène

    Full length human recombinant protein of human AMTN (NP_997722) produced in E.coli.

    Isotype

    IgG1
  • Indications d'application

    WB 1:2000, IHC 1:150,

    Restrictions

    For Research Use only
  • Format

    Liquid

    Concentration

    1.00 mg/mL
  • Antigène

    Amelotin (AMTN)

    Autre désignation

    AMTN

    Poids moléculaire

    21.4 kDa

    NCBI Accession

    NM_212557

    HGNC

    401138
Vous êtes ici:
Chat with us!