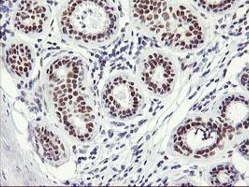
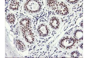
SSBP1 anticorps
Aperçu rapide pour SSBP1 anticorps (ABIN2727861)
Antigène
Voir toutes SSBP1 AnticorpsReactivité
Hôte
Clonalité
Conjugué
Application
Clone
-
-
Attributs du produit
- Homo sapiens oligonucleotide/oligosaccharide-binding fold containing 2B (OBFC2B)
-
Purification
- Purified from mouse ascites fluids by affinity chromatography
-
Immunogène
- Full length human recombinant protein of human OBFC2B(NP_076973) produced in HEK293T cell.
-
Isotype
- IgG1
-
-
-
-
Indications d'application
- WB 1:500~2000, IHC 1:150, FLOW 1:100,
-
Commentaires
-
The concentration of the product may vary between diferrent lots.
-
Restrictions
- For Research Use only
-
-
-
Format
- Liquid
-
Concentration
- 0.5-1.0 mg/mL
-
Buffer
- PBS (PH 7.3) containing 1 % BSA, 50 % glycerol and 0.02 % sodium azide.
-
Agent conservateur
- Sodium azide
-
Précaution d'utilisation
- This product contains sodium azide: a POISONOUS AND HAZARDOUS SUBSTANCE which should be handled by trained staff only.
-
Stock
- -20 °C
-
-
- SSBP1 (Single-Stranded DNA Binding Protein 1 (SSBP1))
-
Autre désignation
- OBFC2B
-
Sujet
- Single-stranded DNA (ssDNA)-binding proteins, such as OBFC2B, are ubiquitous and essential for a variety of DNA metabolic processes, including replication, recombination, and detection and repair of damage (Richard et al., 2008 [PubMed 18449195]). COMPLETENESS: complete on the 3' end.
-
Poids moléculaire
- 22.2 kDa
-
ID gène
- 79035
-
NCBI Accession
- NM_024068
-
HGNC
- 79035
-
Pathways
- Chromatin Binding
Antigène
-