Tel:
+49 (0)241 95 163 153
Fax:
+49 (0)241 95 163 155
E-Mail:
orders@anticorps-enligne.fr

TRIM41 anticorps (C-Term)

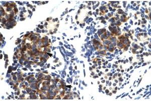
Cet anticorps Lapin Polyclonal détecte spécifiquement TRIM41 dans WB et IHC. Il présente une réactivité avec des échantillons de Humain, Souris, Rat, Chien, Cheval, Boeuf (Vache), Lapin et Cobaye.
N° du produit ABIN2775820
534,11 €
Plus frais de livraison 40,00 € et TVA
Destination: France
Envoi sous 6 à 9 jours ouvrables

Aperçu rapide pour TRIM41 anticorps (C-Term) (ABIN2775820)

Antigène

Voir toutes TRIM41 Anticorps
TRIM41 (Tripartite Motif Containing 41 (TRIM41))

Reactivité

  • 37
  • 31
  • 23
  • 5
  • 5
  • 5
  • 4
  • 4
  • 3
  • 2
  • 1
  • 1
  • 1
Humain, Souris, Rat, Chien, Cheval, Boeuf (Vache), Lapin, Cobaye

Hôte

  • 37
Lapin

Clonalité

  • 37
Polyclonal

Conjugué

  • 18
  • 2
  • 2
  • 2
  • 1
  • 1
  • 1
  • 1
  • 1
  • 1
  • 1
  • 1
  • 1
  • 1
  • 1
  • 1
  • 1
Cet anticorp TRIM41 est non-conjugé

Application

  • 37
  • 13
  • 10
  • 3
  • 3
  • 2
  • 1
  • 1
Western Blotting (WB), Immunohistochemistry (IHC)
  • Épitope

    • 15
    • 8
    • 4
    • 3
    • 1
    • 1
    • 1
    • 1
    C-Term

    Séquence

    AQSSTEQTLL SPSEKPRRFG VYLDYEAGRL GFYNAETLAH VHTFSAAFLG

    Homologie

    Cow: 100%, Dog: 100%, Guinea Pig: 100%, Horse: 100%, Human: 100%, Mouse: 93%, Rabbit: 100%, Rat: 100%

    Attributs du produit

    This is a rabbit polyclonal antibody against TRIM41. It was validated on Western Blot and immunohistochemistry.

    Purification

    Affinity Purified

    Immunogène

    The immunogen is a synthetic peptide directed towards the C terminal region of human TRIM41
  • Indications d'application

    Optimal working dilutions should be determined experimentally by the investigator.

    Commentaires

    Antigen size: 630 AA

    Restrictions

    For Research Use only
  • Format

    Liquid

    Concentration

    Lot specific

    Buffer

    Liquid. Purified antibody supplied in 1x PBS buffer with 0.09 % (w/v) sodium azide and 2 % sucrose.

    Agent conservateur

    Sodium azide

    Précaution d'utilisation

    This product contains Sodium azide: a POISONOUS AND HAZARDOUS SUBSTANCE which should be handled by trained staff only.

    Conseil sur la manipulation

    Avoid repeated freeze-thaw cycles.

    Stock

    -20 °C

    Stockage commentaire

    For short term use, store at 2-8°C up to 1 week. For long term storage, store at -20°C in small aliquots to prevent freeze-thaw cycles.
  • Antigène

    TRIM41 (Tripartite Motif Containing 41 (TRIM41))

    Autre désignation

    TRIM41

    Sujet

    The TRIM41 gene encodes a protein observed in the cytoplasm and the nucleus. Nuclear transport is mediated by an N-terminal segment common to both alpha and beta isoforms, but independent of a classical nuclear localization signal sequence.
    Alias Symbols: MGC1127, MGC31991, RINCK
    Protein Interaction Partner: ZNF264, TOP3B, NCK2, ZSCAN26, ZNF138, ZSCAN21, ZNF26, MEOX2, KIFC3, EHHADH, PHC2, CSNK2A2, CHD2, AES, MORF4L1, RNPS1, ZNF266, SORBS3, ZBTB24, KRTAP10-9, ZBTB38, FAM124A, ZNF564, ZNF417, FRA10AC1, ZNF670, TRIM41, ZNF587, PUS7L, CEP44, ZFP2, ZNF329, AEN, ZN
    Protein Size: 630

    Poids moléculaire

    72 kDa

    ID gène

    90933

    NCBI Accession

    NM_033549, NP_291027

    UniProt

    Q8WV44
Vous êtes ici:
Chat with us!