Tel:
+49 (0)241 95 163 153
Fax:
+49 (0)241 95 163 155
E-Mail:
orders@anticorps-enligne.fr

MIF4GD anticorps (C-Term)

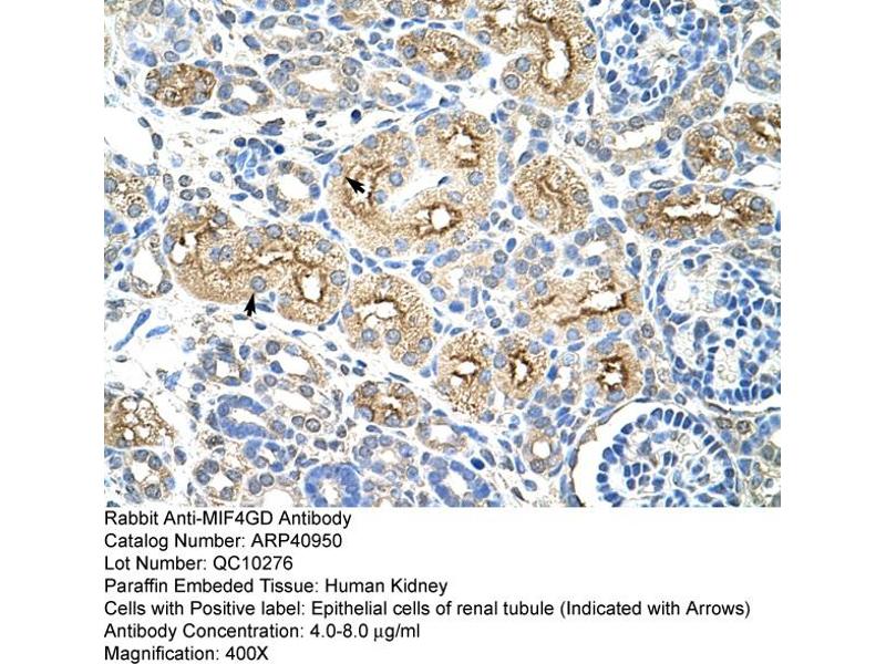
Cité dans 1 publication. Cet anticorps anti-MIF4GD Polyclonal Lapin (ABIN2776538) détecte spécifiquement MIF4GD dans WB et IHC. L’anticorps est réactif avec des échantillons de Humain, Souris, Chien, Rat, Cobaye, Boeuf (Vache), Cheval, Lapin et Poisson zèbre (Danio rerio).
N° du produit ABIN2776538
470,22 €
Plus frais de livraison 40,00 € et TVA
Destination: France
Envoi sous 6 à 9 jours ouvrables

Aperçu rapide pour MIF4GD anticorps (C-Term) (ABIN2776538)

Antigène

Voir toutes MIF4GD Anticorps
MIF4GD (MIF4G Domain Containing (MIF4GD))

Reactivité

  • 23
  • 7
  • 5
  • 4
  • 3
  • 2
  • 2
  • 2
  • 2
  • 2
  • 2
  • 2
  • 1
Humain, Souris, Chien, Rat, Cobaye, Boeuf (Vache), Cheval, Lapin, Poisson zèbre (Danio rerio)

Hôte

  • 20
  • 3
Lapin

Clonalité

  • 21
  • 2
Polyclonal

Conjugué

  • 13
  • 2
  • 1
  • 1
  • 1
  • 1
  • 1
  • 1
  • 1
  • 1
Cet anticorp MIF4GD est non-conjugé

Application

  • 12
  • 5
  • 4
  • 4
  • 3
  • 1
Western Blotting (WB), Immunohistochemistry (IHC)
  • Épitope

    • 5
    • 4
    • 2
    • 1
    • 1
    • 1
    C-Term

    Séquence

    LFVLIRDGFL LPTGLSSLAQ LLLLEIIEFR AAGWKTTPAA HKYYYSEVSD

    Homologie

    Cow: 100%, Dog: 100%, Guinea Pig: 100%, Horse: 100%, Human: 100%, Mouse: 100%, Rabbit: 100%, Rat: 100%, Zebrafish: 100%

    Attributs du produit

    This is a rabbit polyclonal antibody against MIF4GD. It was validated on Western Blot and immunohistochemistry.

    Purification

    Protein A purified

    Immunogène

    The immunogen is a synthetic peptide directed towards the C terminal region of human MIF4GD
  • Indications d'application

    Optimal working dilutions should be determined experimentally by the investigator.

    Commentaires

    Antigen size: 256 AA

    Restrictions

    For Research Use only
  • Format

    Liquid

    Concentration

    Lot specific

    Buffer

    Liquid. Purified antibody supplied in 1x PBS buffer with 0.09 % (w/v) sodium azide and 2 % sucrose.

    Agent conservateur

    Sodium azide

    Précaution d'utilisation

    This product contains Sodium azide: a POISONOUS AND HAZARDOUS SUBSTANCE which should be handled by trained staff only.

    Conseil sur la manipulation

    Avoid repeated freeze-thaw cycles.

    Stock

    -20 °C

    Stockage commentaire

    For short term use, store at 2-8°C up to 1 week. For long term storage, store at -20°C in small aliquots to prevent freeze-thaw cycles.
  • Okada, Kimura, Moriyama, Nakai, Kikuchi, Kaneko, Kunieda, Baba, Noguchi: "Expression analysis of MIF4GD in the rat testis." dans: The Journal of reproduction and development, Vol. 57, Issue 2, pp. 256-61, (2011) (PubMed).

  • Antigène

    MIF4GD (MIF4G Domain Containing (MIF4GD))

    Autre désignation

    MIF4GD

    Sujet

    MIF4GD is a protein which contains an MIF4G domain.This gene encodes a protein which contains an MIF4G domain.
    Alias Symbols: MIFD, AD023, SLIP1
    Protein Interaction Partner: DDX19A, DDX19B, PDE4DIP, HGS, EXOSC6, HDAC4, PPARG, LSM5, PDXDC1, PPIP5K1, DHX16, ILF2, HINFP, UBQLN4, SVIL,
    Protein Size: 256

    Poids moléculaire

    28 kDa

    ID gène

    57409

    NCBI Accession

    NM_020679, NP_065730

    UniProt

    Q8N4Q5
Vous êtes ici:
Chat with us!