Tel:
+49 (0)241 95 163 153
Fax:
+49 (0)241 95 163 155
E-Mail:
orders@anticorps-enligne.fr

FLJ11730 (N-Term) anticorps

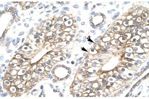
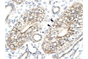
Cet anticorps Lapin Polyclonal détecte spécifiquement FLJ11730 dans IHC et WB. Il présente une réactivité avec des échantillons de Humain, Boeuf (Vache), Souris, Rat et Poisson zèbre (Danio rerio).
N° du produit ABIN2777884
534,11 €
Plus frais de livraison 40,00 € et TVA
Destination: France
Envoi sous 6 à 9 jours ouvrables

Aperçu rapide pour FLJ11730 (N-Term) anticorps (ABIN2777884)

Antigène

FLJ11730

Reactivité

Humain, Boeuf (Vache), Souris, Rat, Poisson zèbre (Danio rerio)

Hôte

  • 2
Lapin

Clonalité

  • 2
Polyclonal

Conjugué

  • 2
Inconjugué

Application

  • 2
  • 2
  • 1
Immunohistochemistry (IHC), Western Blotting (WB)
  • Épitope

    N-Term

    Séquence

    HNKAAPPQIP DTRRELAELV KRKQELAETL ANLERQIYAF EGSYLEDTQM

    Homologie

    Cow: 100%, Human: 100%, Mouse: 100%, Rat: 100%, Zebrafish: 92%

    Attributs du produit

    This is a rabbit polyclonal antibody against FLJ11730. It was validated on Western Blot and immunohistochemistry.

    Purification

    Affinity Purified

    Immunogène

    The immunogen is a synthetic peptide directed towards the N terminal region of human FLJ11730
  • Indications d'application

    Optimal working dilutions should be determined experimentally by the investigator.

    Commentaires

    Antigen size: 201 AA

    Restrictions

    For Research Use only
  • Format

    Liquid

    Concentration

    Lot specific

    Buffer

    Liquid. Purified antibody supplied in 1x PBS buffer with 0.09 % (w/v) sodium azide and 2 % sucrose.

    Agent conservateur

    Sodium azide

    Précaution d'utilisation

    This product contains Sodium azide: a POISONOUS AND HAZARDOUS SUBSTANCE which should be handled by trained staff only.

    Conseil sur la manipulation

    Avoid repeated freeze-thaw cycles.

    Stock

    -20 °C

    Stockage commentaire

    For short term use, store at 2-8°C up to 1 week. For long term storage, store at -20°C in small aliquots to prevent freeze-thaw cycles.
  • Antigène

    FLJ11730

    Sujet

    The screening of cDNA expression libraries from human tumors with serum antibody (SEREX) has proven to be a powerful method for identifying the repertoire of tumor antigens recognized by the immune system of cancer patients, referred to as the cancer immunome. In this regard, cancer/testis (CT) antigens are of particular interest because of their immunogenicity and restricted expression patterns. Synoivial sarcomas are striking with regard to CT antigen expression, however, highly expressed in sarcoma, CT antigens do not induce frequent humoral immune responses in sarcoma patients. Sera from two patients were used to immunoscreen cDNA libraries from two synovial sarcoma cell lines and normal testis, resulting in the identification of 113 distinct antigens. Sarcoma antigen NY-SAR-91 is one of them.
    Alias Symbols: Eaf6, CENP-28, C1orf149, CDABP0189, NY-SAR-91, RP3-423B22.2, FLJ11730
    Protein Interaction Partner: PLEKHF2, TRIM54, LDOC1, UBC, FXR2, H2AFZ, ELAVL1, SUMO2, JADE1, KAT5, tat, MRGBP, ING5, KAT6A, BRPF1, CCDC85B, L3MBTL2, ING3, ING4, KAT7,
    Protein Size: 201

    Poids moléculaire

    23 kDa

    ID gène

    64769

    NCBI Accession

    NM_022756, NP_073593

    UniProt

    Q86WE3
Vous êtes ici:
Chat with us!