Tel:
+49 (0)241 95 163 153
Fax:
+49 (0)241 95 163 155
E-Mail:
orders@anticorps-enligne.fr

KIF5A anticorps (Middle Region)

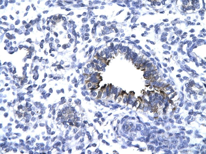
L’anticorps anti-KIF5A Polyclonal Lapin est utilisé pour la détection de KIF5A dans des échantillons de Humain, Souris, Rat, Chien, Lapin, Boeuf (Vache), Cobaye, Cheval et Porc. Il a été validé pour WB et IHC.
N° du produit ABIN2778166
534,11 €
Plus frais de livraison 40,00 € et TVA
Destination: France
Envoi sous 6 à 9 jours ouvrables

Aperçu rapide pour KIF5A anticorps (Middle Region) (ABIN2778166)

Antigène

Voir toutes KIF5A Anticorps
KIF5A (Kinesin Family Member 5A (KIF5A))

Reactivité

Humain, Souris, Rat, Chien, Lapin, Boeuf (Vache), Cobaye, Cheval, Porc

Hôte

  • 26
  • 3
  • 1
Lapin

Clonalité

  • 27
  • 3
Polyclonal

Conjugué

  • 25
  • 3
  • 2
Cet anticorp KIF5A est non-conjugé

Application

  • 28
  • 17
  • 12
  • 10
  • 9
  • 8
  • 4
  • 3
  • 2
  • 2
  • 1
Western Blotting (WB), Immunohistochemistry (IHC)
  • Épitope

    • 5
    • 4
    • 2
    • 2
    • 1
    • 1
    • 1
    • 1
    • 1
    • 1
    • 1
    • 1
    • 1
    • 1
    Middle Region

    Séquence

    LEESYDSLSD ELAKLQAQET VHEVALKDKE PDTQDADEVK KALELQMESH

    Homologie

    Cow: 79%, Dog: 100%, Guinea Pig: 86%, Horse: 93%, Human: 100%, Mouse: 93%, Pig: 93%, Rabbit: 100%, Rat: 93%

    Attributs du produit

    This is a rabbit polyclonal antibody against KIF5A. It was validated on Western Blot and immunohistochemistry.

    Purification

    Affinity Purified

    Immunogène

    The immunogen is a synthetic peptide directed towards the middle region of human KIF5A
  • Indications d'application

    Optimal working dilutions should be determined experimentally by the investigator.

    Commentaires

    Antigen size: 1032 AA

    Restrictions

    For Research Use only
  • Format

    Liquid

    Concentration

    Lot specific

    Buffer

    Liquid. Purified antibody supplied in 1x PBS buffer with 0.09 % (w/v) sodium azide and 2 % sucrose.

    Agent conservateur

    Sodium azide

    Précaution d'utilisation

    This product contains Sodium azide: a POISONOUS AND HAZARDOUS SUBSTANCE which should be handled by trained staff only.

    Conseil sur la manipulation

    Avoid repeated freeze-thaw cycles.

    Stock

    -20 °C

    Stockage commentaire

    For short term use, store at 2-8°C up to 1 week. For long term storage, store at -20°C in small aliquots to prevent freeze-thaw cycles.
  • Antigène

    KIF5A (Kinesin Family Member 5A (KIF5A))

    Autre désignation

    KIF5A

    Sujet

    KIF5A is a member of the kinesin family of proteins. Members of this family are part of a multisubunit complex that functions as a microtubule motor in intracellular organelle transport. Mutations in this gene cause autosomal dominant spastic paraplegia 10.
    Alias Symbols: NKHC, MY050, SPG10, D12S1889
    Protein Interaction Partner: UBC, KIF11, KLC1, KLC4, KLC2, EXOC1, KCNE3, TK1, SMN1, PIN1, STAU1, RAPGEF2, MAP4K4, TP53BP2, KIF5A, DTNB, NCOA2, KIF5B, ITSN1, KLC3, YAP1, TSG101,
    Protein Size: 1032

    Poids moléculaire

    117 kDa

    ID gène

    3798

    NCBI Accession

    NM_004984, NP_004975

    UniProt

    Q12840
Vous êtes ici:
Chat with us!