Tel:
+49 (0)241 95 163 153
Fax:
+49 (0)241 95 163 155
E-Mail:
orders@anticorps-enligne.fr

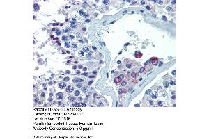
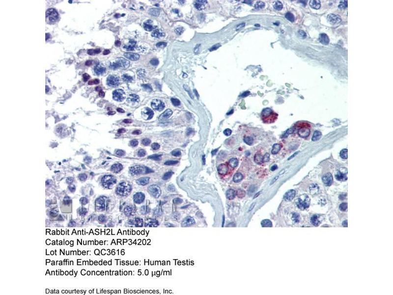
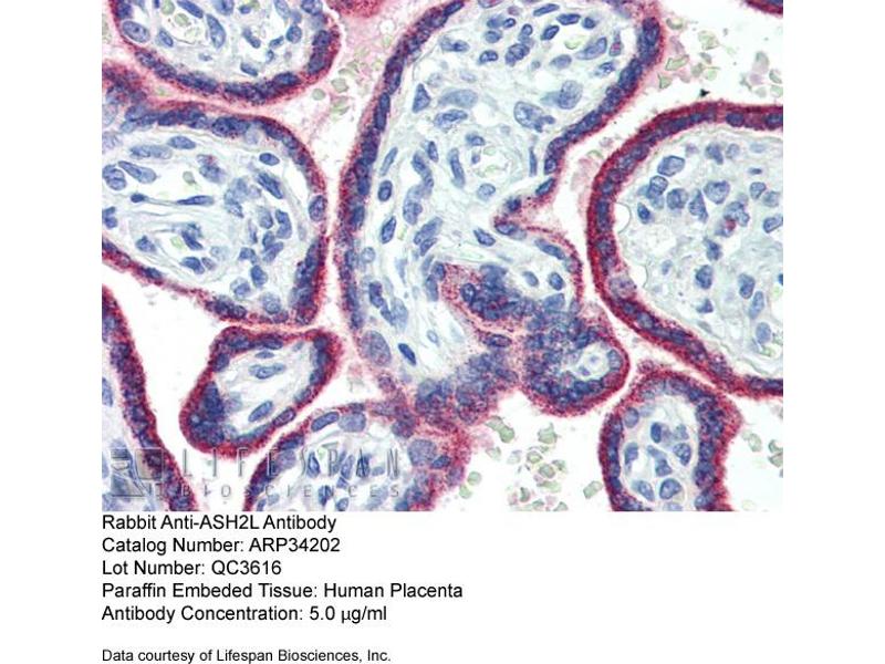
ASH2L anticorps (Middle Region)

Cet anticorps anti-ASH2L Polyclonal Lapin (ABIN2778325) détecte spécifiquement ASH2L dans WB et IHC. L’anticorps est réactif avec des échantillons de Humain, Souris, Rat, Chien, Cheval, Boeuf (Vache), Cobaye et Lapin.
N° du produit ABIN2778325
534,11 €
Plus frais de livraison 40,00 € et TVA
Destination: France
Envoi sous 6 à 9 jours ouvrables

Aperçu rapide pour ASH2L anticorps (Middle Region) (ABIN2778325)

Antigène

Voir toutes ASH2L Anticorps
ASH2L (Set1/Ash2 Histone Methyltransferase Complex Subunit ASH2 (ASH2L))

Reactivité

  • 65
  • 39
  • 34
  • 10
  • 8
  • 8
  • 6
  • 3
  • 3
  • 2
  • 2
  • 2
  • 1
  • 1
  • 1
  • 1
Humain, Souris, Rat, Chien, Cheval, Boeuf (Vache), Cobaye, Lapin

Hôte

  • 62
  • 7
  • 1
Lapin

Clonalité

  • 40
  • 30
Polyclonal

Conjugué

  • 44
  • 3
  • 3
  • 3
  • 3
  • 3
  • 3
  • 3
  • 2
  • 1
  • 1
  • 1
Cet anticorp ASH2L est non-conjugé

Application

  • 47
  • 29
  • 24
  • 17
  • 16
  • 6
  • 6
  • 5
  • 2
  • 2
  • 1
  • 1
  • 1
  • 1
  • 1
Western Blotting (WB), Immunohistochemistry (IHC)
  • Épitope

    • 6
    • 4
    • 3
    • 3
    • 2
    • 2
    • 1
    • 1
    • 1
    • 1
    • 1
    • 1
    • 1
    • 1
    • 1
    • 1
    • 1
    • 1
    Middle Region

    Séquence

    AAGSSGKGRG AKRKQQDGGT TGTTKKARSD PLFSAQRLPP HGYPLEHPFN

    Homologie

    Cow: 86%, Dog: 100%, Guinea Pig: 100%, Horse: 100%, Human: 100%, Mouse: 100%, Rabbit: 100%, Rat: 100%

    Attributs du produit

    This is a rabbit polyclonal antibody against ASH2L. It was validated on Western Blot using a cell lysate as a positive control.

    Purification

    Affinity Purified

    Immunogène

    The immunogen is a synthetic peptide directed towards the middle region of human ASH2L
  • Indications d'application

    Optimal working dilutions should be determined experimentally by the investigator.

    Commentaires

    Antigen size: 628 AA

    Restrictions

    For Research Use only
  • Format

    Liquid

    Concentration

    Lot specific

    Buffer

    Liquid. Purified antibody supplied in 1x PBS buffer with 0.09 % (w/v) sodium azide and 2 % sucrose.

    Agent conservateur

    Sodium azide

    Précaution d'utilisation

    This product contains Sodium azide: a POISONOUS AND HAZARDOUS SUBSTANCE which should be handled by trained staff only.

    Conseil sur la manipulation

    Avoid repeated freeze-thaw cycles.

    Stock

    -20 °C

    Stockage commentaire

    For short term use, store at 2-8°C up to 1 week. For long term storage, store at -20°C in small aliquots to prevent freeze-thaw cycles.
  • Antigène

    ASH2L (Set1/Ash2 Histone Methyltransferase Complex Subunit ASH2 (ASH2L))

    Autre désignation

    ASH2L

    Sujet

    ASH2L is a component of the Set1/Ash2 histone methyltransferase (HMT) complex, a complex that specifically methylates 'Lys-4' of histone H3, but not if the neighboring 'Lys-9' residue is already methylated. The protein may function as a transcriptional regulator and play a role in hematopoiesis.
    Alias Symbols: ASH2, ASH2L1, ASH2L2, Bre2
    Protein Interaction Partner: CXXC1, DPY30, SETD1A, RBBP5, PPARG, KMT2A, KMT2D, UBC, SENP3, KDM6A, PPP1CC, SMAD9, KDM6B, WWP1, BRCA1, BARD1, WDR5, MEN1, USF1, KMT2C, HCFC2, SETD1B, KDM4B, KMT2B, HCFC1, ESR1, CDC73, HIST3H3, PYGO2, WDR82, PSMC5, PRMT1, E2F4, E2F1, PAGR1, NCOA6, PAXIP1,
    Protein Size: 628

    Poids moléculaire

    69 kDa

    ID gène

    9070

    NCBI Accession

    NM_004674, NP_004665

    UniProt

    Q9UBL3
Vous êtes ici:
Chat with us!