Tel:
+49 (0)241 95 163 153
Fax:
+49 (0)241 95 163 155
E-Mail:
orders@anticorps-enligne.fr

SSB anticorps (N-Term)

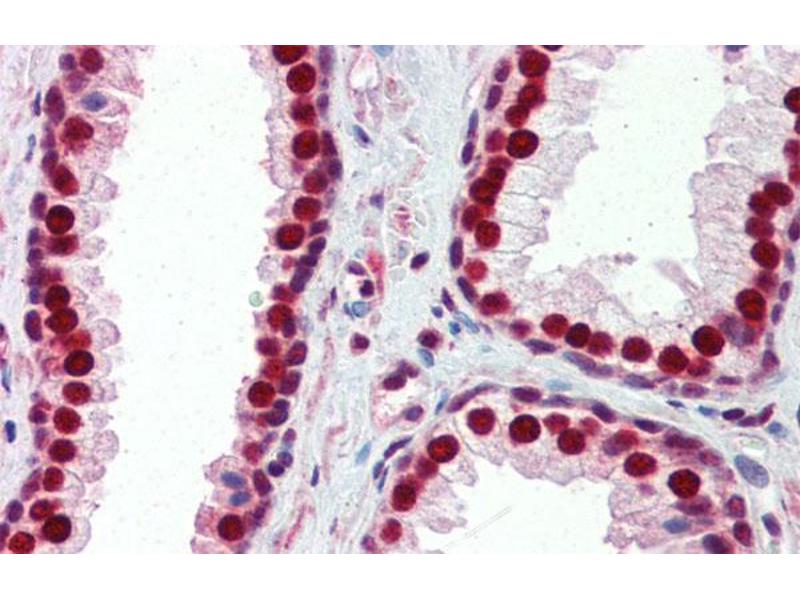
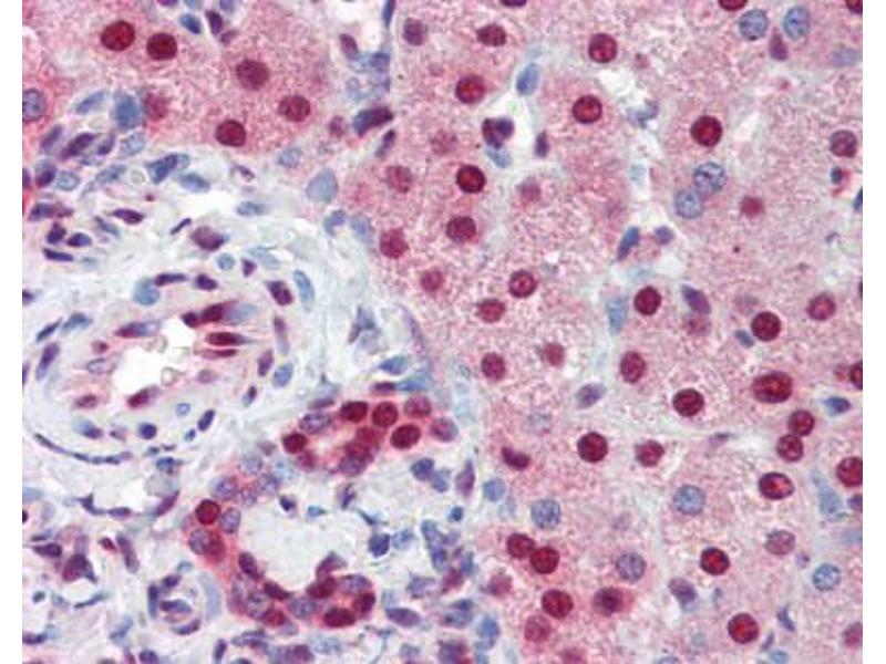
Cité dans 1 publication. Cet anticorps anti-SSB Polyclonal Lapin (ABIN2778846) détecte spécifiquement SSB dans WB et IHC. L’anticorps est réactif avec des échantillons de Humain, Souris, Rat, Chien, Cheval, Lapin, Boeuf (Vache) et Cobaye.
N° du produit ABIN2778846
534,11 €
Plus frais de livraison 40,00 € et TVA
Destination: France
Envoi sous 6 à 9 jours ouvrables

Aperçu rapide pour SSB anticorps (N-Term) (ABIN2778846)

Antigène

Voir toutes SSB Anticorps
SSB (Sjogren Syndrome Antigen B (SSB))

Reactivité

  • 85
  • 19
  • 17
  • 11
  • 5
  • 5
  • 4
  • 4
  • 4
  • 3
  • 3
  • 2
  • 1
  • 1
  • 1
Humain, Souris, Rat, Chien, Cheval, Lapin, Boeuf (Vache), Cobaye

Hôte

  • 73
  • 17
  • 5
Lapin

Clonalité

  • 80
  • 15
Polyclonal

Conjugué

  • 55
  • 6
  • 6
  • 5
  • 2
  • 2
  • 2
  • 2
  • 2
  • 2
  • 1
  • 1
  • 1
  • 1
  • 1
  • 1
  • 1
  • 1
  • 1
  • 1
  • 1
Cet anticorp SSB est non-conjugé

Application

  • 47
  • 33
  • 23
  • 15
  • 14
  • 13
  • 13
  • 10
  • 9
  • 5
  • 3
  • 2
  • 2
  • 2
  • 1
  • 1
Western Blotting (WB), Immunohistochemistry (IHC)
  • Épitope

    • 15
    • 9
    • 9
    • 3
    • 3
    • 2
    • 2
    • 2
    • 1
    • 1
    • 1
    • 1
    • 1
    • 1
    • 1
    • 1
    • 1
    • 1
    • 1
    • 1
    • 1
    N-Term

    Séquence

    ISEDKTKIRR SPSKPLPEVT DEYKNDVKNR SVYIKGFPTD ATLDDIKEWL

    Homologie

    Cow: 100%, Dog: 100%, Guinea Pig: 100%, Horse: 100%, Human: 100%, Mouse: 100%, Rabbit: 100%, Rat: 100%

    Attributs du produit

    This is a rabbit polyclonal antibody against SSB. It was validated on Western Blot and immunohistochemistry.

    Purification

    Affinity Purified

    Immunogène

    The immunogen is a synthetic peptide directed towards the N terminal region of human SSB
  • Indications d'application

    Optimal working dilutions should be determined experimentally by the investigator.

    Commentaires

    Antigen size: 408 AA

    Restrictions

    For Research Use only
  • Format

    Liquid

    Concentration

    Lot specific

    Buffer

    Liquid. Purified antibody supplied in 1x PBS buffer with 0.09 % (w/v) sodium azide and 2 % sucrose.

    Agent conservateur

    Sodium azide

    Précaution d'utilisation

    This product contains Sodium azide: a POISONOUS AND HAZARDOUS SUBSTANCE which should be handled by trained staff only.

    Conseil sur la manipulation

    Avoid repeated freeze-thaw cycles.

    Stock

    -20 °C

    Stockage commentaire

    For short term use, store at 2-8°C up to 1 week. For long term storage, store at -20°C in small aliquots to prevent freeze-thaw cycles.
  • Teplova, Yuan, Phan, Malinina, Ilin, Teplov, Patel: "Structural basis for recognition and sequestration of UUU(OH) 3' temini of nascent RNA polymerase III transcripts by La, a rheumatic disease autoantigen." dans: Molecular cell, Vol. 21, Issue 1, pp. 75-85, (2006) (PubMed).

  • Antigène

    SSB (Sjogren Syndrome Antigen B (SSB))

    Autre désignation

    SSB

    Sujet

    SSB is involved in diverse aspects of RNA metabolism, including binding and protecting 3-prime UUU(OH) elements of newly RNA polymerase III-transcribed RNA, processing 5-prime and 3-prime ends of pre-tRNA precursors, acting as an RNA chaperone, and binding viral RNAs associated with hepatitis C virus. SSB protein was originally defined by its reactivity with autoantibodies from patients with Sjogren syndrome and systemic lupus erythematosus.La is involved in diverse aspects of RNA metabolism, including binding and protecting 3-prime UUU(OH) elements of newly RNA polymerase III (see MIM 606007)-transcribed RNA, processing 5-prime and 3-prime ends of pre-tRNA precursors, acting as an RNA chaperone, and binding viral RNAs associated with hepatitis C virus. La protein was originally defined by its reactivity with autoantibodies from patients with Sjogren syndrome (MIM 270150) and systemic lupus erythematosus (SLE, MIM 152700) (Teplova et al., 2006).[supplied by OMIM].
    Alias Symbols: La, LARP3
    Protein Interaction Partner: HUWE1, UBC, MDM2, LIN28A, BMI1, SUZ12, RNF2, rev, NPLOC4, DNM1L, UBA2, ANP32A, VBP1, RABGGTA, PPP2CA, KARS, CTTN, TARDBP, SOX2, HMGA1, ARFGEF1, NCL, GZMH, CSNK2B, CSNK2A1, HCVgp1, CBX6, SPIB, IL7R, IFIT3, FN1, SMURF1, BARD1, PAXIP1, APP, TROVE2, XIAP, CAN
    Protein Size: 408

    Poids moléculaire

    45 kDa

    ID gène

    6741

    NCBI Accession

    NM_003142, NP_003133

    UniProt

    P05455
Vous êtes ici:
Chat with us!