Tel:
+49 (0)241 95 163 153
Fax:
+49 (0)241 95 163 155
E-Mail:
orders@anticorps-enligne.fr

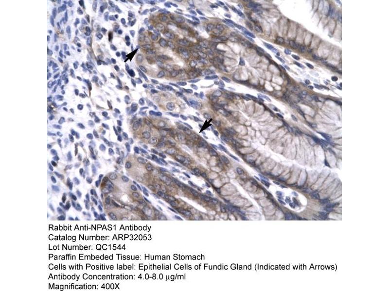
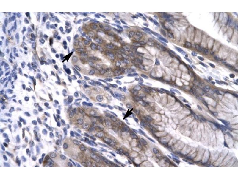
NPAS1 anticorps (C-Term)

L’anticorps anti-NPAS1 Polyclonal Lapin est utilisé pour la détection de NPAS1 dans des échantillons de Humain, Souris, Rat, Lapin, Chien et Porc. Il a été validé pour WB et IHC.
N° du produit ABIN2779441
534,11 €
Plus frais de livraison 40,00 € et TVA
Destination: France
Envoi sous 6 à 9 jours ouvrables

Aperçu rapide pour NPAS1 anticorps (C-Term) (ABIN2779441)

Antigène

Voir toutes NPAS1 Anticorps
NPAS1 (Neuronal PAS Domain Protein 1 (NPAS1))

Reactivité

Humain, Souris, Rat, Lapin, Chien, Porc

Hôte

  • 18
Lapin

Clonalité

  • 18
Polyclonal

Conjugué

  • 11
  • 1
  • 1
  • 1
  • 1
  • 1
  • 1
  • 1
Cet anticorp NPAS1 est non-conjugé

Application

  • 10
  • 4
  • 2
  • 2
  • 2
  • 1
  • 1
Western Blotting (WB), Immunohistochemistry (IHC)
  • Épitope

    • 3
    • 1
    • 1
    • 1
    • 1
    • 1
    • 1
    C-Term

    Séquence

    TIRYGPAELG LVYPHLQRLG PGPALPEAFY PPLGLPYPGP AGTRLPRKGD

    Homologie

    Dog: 85%, Human: 100%, Mouse: 92%, Pig: 92%, Rabbit: 100%, Rat: 92%

    Attributs du produit

    This is a rabbit polyclonal antibody against NPAS1. It was validated on Western Blot and immunohistochemistry.

    Purification

    Affinity Purified

    Immunogène

    The immunogen is a synthetic peptide directed towards the C terminal region of human NPAS1
  • Indications d'application

    Optimal working dilutions should be determined experimentally by the investigator.

    Commentaires

    Antigen size: 590 AA

    Restrictions

    For Research Use only
  • Format

    Liquid

    Concentration

    Lot specific

    Buffer

    Liquid. Purified antibody supplied in 1x PBS buffer with 0.09 % (w/v) sodium azide and 2 % sucrose.

    Agent conservateur

    Sodium azide

    Précaution d'utilisation

    This product contains Sodium azide: a POISONOUS AND HAZARDOUS SUBSTANCE which should be handled by trained staff only.

    Conseil sur la manipulation

    Avoid repeated freeze-thaw cycles.

    Stock

    -20 °C

    Stockage commentaire

    For short term use, store at 2-8°C up to 1 week. For long term storage, store at -20°C in small aliquots to prevent freeze-thaw cycles.
  • Antigène

    NPAS1 (Neuronal PAS Domain Protein 1 (NPAS1))

    Autre désignation

    NPAS1

    Sujet

    NPAS1 is a member of the basic helix-loop-helix (bHLH)-PAS family of transcription factors. Studies of a related mouse gene suggest that it functions in neurons. The exact function of this gene is unclear, but it may play protective or modulatory roles during late embryogenesis and postnatal development.
    Alias Symbols: MOP5, PASD5, bHLHe11
    Protein Interaction Partner: ARNT,
    Protein Size: 590

    Poids moléculaire

    63 kDa

    ID gène

    4861

    NCBI Accession

    NM_002517, NP_002508

    UniProt

    Q99742
Vous êtes ici:
Chat with us!