Tel:
+49 (0)241 95 163 153
Fax:
+49 (0)241 95 163 155
E-Mail:
orders@anticorps-enligne.fr

GTF2IRD1 anticorps (N-Term)

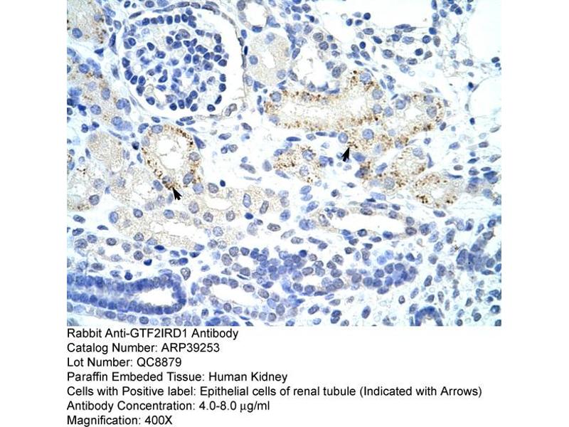
L’anticorps anti-GTF2IRD1 Polyclonal Lapin est utilisé pour la détection de GTF2IRD1 dans des échantillons de Humain, Rat, Chien, Boeuf (Vache), Cheval, Lapin, Cobaye et Porc. Il a été validé pour WB et IHC.
N° du produit ABIN2781009
470,22 €
Plus frais de livraison 40,00 € et TVA
Destination: France
Envoi sous 6 à 9 jours ouvrables

Aperçu rapide pour GTF2IRD1 anticorps (N-Term) (ABIN2781009)

Antigène

Voir toutes GTF2IRD1 Anticorps
GTF2IRD1 (General Transcription Factor II I Repeat Domain-Containing 1 (GTF2IRD1))

Reactivité

  • 46
  • 16
  • 15
  • 8
  • 6
  • 6
  • 5
  • 4
  • 3
  • 3
  • 1
  • 1
  • 1
Humain, Rat, Chien, Boeuf (Vache), Cheval, Lapin, Cobaye, Porc

Hôte

  • 37
  • 8
  • 1
Lapin

Clonalité

  • 41
  • 5
Polyclonal

Conjugué

  • 30
  • 3
  • 3
  • 2
  • 1
  • 1
  • 1
  • 1
  • 1
  • 1
  • 1
  • 1
Cet anticorp GTF2IRD1 est non-conjugé

Application

  • 32
  • 24
  • 12
  • 7
  • 6
  • 6
  • 4
  • 2
  • 1
Western Blotting (WB), Immunohistochemistry (IHC)
  • Épitope

    • 7
    • 7
    • 5
    • 4
    • 2
    • 2
    • 1
    • 1
    • 1
    • 1
    • 1
    • 1
    • 1
    • 1
    N-Term

    Séquence

    MALLGKRCDV PTNGCGPDRW NSAFTRKDEI ITSLVSALDS MCSALSKLNA

    Homologie

    Cow: 93%, Dog: 100%, Guinea Pig: 79%, Horse: 93%, Human: 100%, Pig: 93%, Rabbit: 86%, Rat: 100%

    Attributs du produit

    This is a rabbit polyclonal antibody against GTF2IRD1. It was validated on Western Blot and immunohistochemistry.

    Purification

    Protein A purified

    Immunogène

    The immunogen is a synthetic peptide directed towards the N terminal region of human GTF2IRD1
  • Indications d'application

    Optimal working dilutions should be determined experimentally by the investigator.

    Commentaires

    Antigen size: 959 AA

    Restrictions

    For Research Use only
  • Format

    Liquid

    Concentration

    Lot specific

    Buffer

    Liquid. Purified antibody supplied in 1x PBS buffer with 0.09 % (w/v) sodium azide and 2 % sucrose.

    Agent conservateur

    Sodium azide

    Précaution d'utilisation

    This product contains Sodium azide: a POISONOUS AND HAZARDOUS SUBSTANCE which should be handled by trained staff only.

    Conseil sur la manipulation

    Avoid repeated freeze-thaw cycles.

    Stock

    -20 °C

    Stockage commentaire

    For short term use, store at 2-8°C up to 1 week. For long term storage, store at -20°C in small aliquots to prevent freeze-thaw cycles.
  • Antigène

    GTF2IRD1 (General Transcription Factor II I Repeat Domain-Containing 1 (GTF2IRD1))

    Autre désignation

    GTF2IRD1

    Sujet

    GTF2IRD1 contains five GTF2I-like repeats and each repeat possesses a potential helix-loop-helix (HLH) motif. It may have the ability to interact with other HLH-proteins and function as a transcription factor or as a positive transcriptional regulator under the control of Retinoblastoma protein. GTF2IRD1 is related to Williams-Beuren syndrome, a multisystem developmental disorder. Western blots using three different antibodies against three unique regions of this protein target confirm the same apparent molecular weight in our tests. The protein encoded by this gene contains five GTF2I-like repeats and each repeat possesses a potential helix-loop-helix (HLH) motif. It may have the ability to interact with other HLH-proteins and function as a transcription factor or as a positive transcriptional regulator under the control of Retinoblastoma protein. This gene is deleted in Williams-Beuren syndrome, a multisystem developmental disorder caused by deletion of multiple genes at 7q11.23. Alternative splicing of this gene generates at least 2 transcript variants.
    Alias Symbols: CREAM1, GTF3, MUSTRD1, RBAP2, WBSCR11, WBSCR12, hMusTRD1alpha1, BEN, WBS
    Protein Interaction Partner: UBC, SUMO2, USF1, HDAC3, SMAD2, EXOSC4, CDK20, PIAS2, SMAD3, NFI1,
    Protein Size: 959

    Poids moléculaire

    106 kDa

    ID gène

    9569

    NCBI Accession

    NM_016328, NP_057412

    UniProt

    Q9UHL9
Vous êtes ici:
Chat with us!