CHST1 anticorps (N-Term)
Aperçu rapide pour CHST1 anticorps (N-Term) (ABIN2782241)
Antigène
Voir toutes CHST1 AnticorpsReactivité
Hôte
Clonalité
Conjugué
Application
-
-
Épitope
- N-Term
-
Séquence
- SFVGQLFNQH LDVFYLFEPL YHVQNTLIPR FTQGKSPADR RVMLGASRDL
-
Homologie
- Cow: 100%, Dog: 100%, Guinea Pig: 100%, Human: 100%, Mouse: 100%, Rabbit: 93%, Rat: 100%
-
Attributs du produit
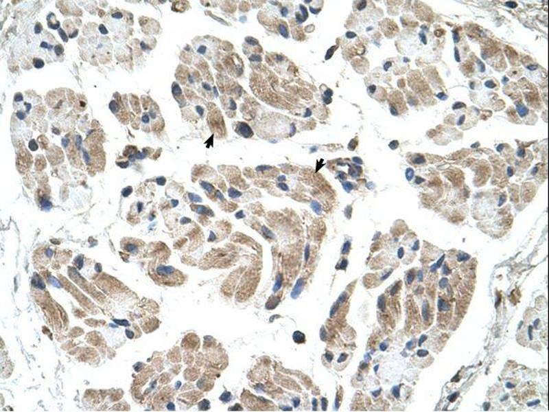
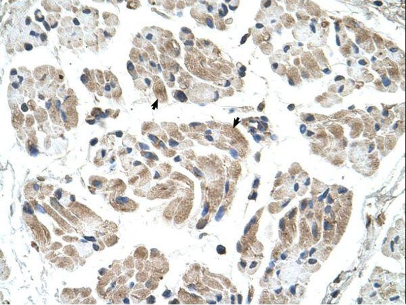
- This is a rabbit polyclonal antibody against CHST1. It was validated on Western Blot and immunohistochemistry.
-
Purification
- Protein A purified
-
Immunogène
- The immunogen is a synthetic peptide directed towards the N terminal region of human CHST1
-
-
-
-
Indications d'application
- Optimal working dilutions should be determined experimentally by the investigator.
-
Commentaires
-
Antigen size: 411 AA
-
Restrictions
- For Research Use only
-
-
-
Format
- Liquid
-
Concentration
- Lot specific
-
Buffer
- Liquid. Purified antibody supplied in 1x PBS buffer with 0.09 % (w/v) sodium azide and 2 % sucrose.
-
Agent conservateur
- Sodium azide
-
Précaution d'utilisation
- This product contains Sodium azide: a POISONOUS AND HAZARDOUS SUBSTANCE which should be handled by trained staff only.
-
Conseil sur la manipulation
- Avoid repeated freeze-thaw cycles.
-
Stock
- -20 °C
-
Stockage commentaire
- For short term use, store at 2-8°C up to 1 week. For long term storage, store at -20°C in small aliquots to prevent freeze-thaw cycles.
-
-
- CHST1 (Carbohydrate (Keratan Sulfate Gal-6) Sulfotransferase 1 (CHST1))
-
Autre désignation
- CHST1
-
Sujet
-
CHST1 catalyzes the transfer of sulfate to position 6 of galactose (Gal) residues of keratan. It has a preference for sulfating keratan sulfate, but it also transfers sulfate to the unsulfated polymer. The sulfotransferase activity on sialyl LacNAc structures is much higher than the corresponding desialylated substrate, and only internal Gal residues are sulfated. It may function in the sulfation of sialyl N-acetyllactosamine oligosaccharide chains attached to glycoproteins. It participates in biosynthesis of selectin ligands. Selectin ligands are present in high endothelial cells (HEVs) and play a central role in lymphocyte homing at sites of inflammation.
Alias Symbols: C6ST, KS6ST, KSGal6ST, KSST, GST-1
Protein Interaction Partner: NHP2L1, SFN,
Protein Size: 411 -
Poids moléculaire
- 47 kDa
-
ID gène
- 8534
-
NCBI Accession
- NM_003654, NP_003645
-
UniProt
- O43916
-
Pathways
- Glycosaminoglycan Metabolic Process
Antigène
-