Tel:
+49 (0)241 95 163 153
Fax:
+49 (0)241 95 163 155
E-Mail:
orders@anticorps-enligne.fr

CTBP2 anticorps (C-Term)

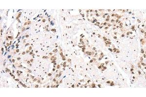
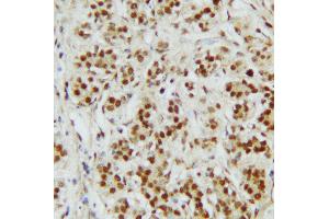
L’anticorps anti-CTBP2 Polyclonal Lapin est utilisé pour la détection de CTBP2 dans des échantillons de Humain, Souris, Rat, Boeuf (Vache), Chien, Chévre, Cobaye, Cheval et Lapin. Il a été validé pour WB et IHC.
N° du produit ABIN2784279
534,11 €
Plus frais de livraison 40,00 € et TVA
Destination: France
Envoi sous 6 à 9 jours ouvrables

Aperçu rapide pour CTBP2 anticorps (C-Term) (ABIN2784279)

Antigène

Voir toutes CTBP2 Anticorps
CTBP2 (C-terminal Binding Protein 2 (CTBP2))

Reactivité

  • 70
  • 30
  • 29
  • 5
  • 4
  • 3
  • 3
  • 3
  • 3
  • 2
  • 2
  • 2
  • 2
  • 1
  • 1
Humain, Souris, Rat, Boeuf (Vache), Chien, Chévre, Cobaye, Cheval, Lapin

Hôte

  • 57
  • 13
Lapin

Clonalité

  • 49
  • 21
Polyclonal

Conjugué

  • 49
  • 3
  • 2
  • 2
  • 2
  • 2
  • 2
  • 2
  • 1
  • 1
  • 1
  • 1
  • 1
  • 1
Cet anticorp CTBP2 est non-conjugé

Application

  • 59
  • 39
  • 27
  • 20
  • 20
  • 8
  • 5
  • 4
  • 2
  • 1
  • 1
  • 1
  • 1
  • 1
  • 1
Western Blotting (WB), Immunohistochemistry (IHC)
  • Épitope

    • 10
    • 8
    • 3
    • 3
    • 3
    • 2
    • 2
    • 2
    • 2
    • 2
    • 1
    • 1
    • 1
    • 1
    • 1
    • 1
    • 1
    • 1
    • 1
    • 1
    • 1
    • 1
    C-Term

    Séquence

    TGRIPESLRN CVNKEFFVTS APWSVIDQQA IHPELNGATY RYPPGIVGVA

    Homologie

    Cow: 100%, Dog: 100%, Goat: 86%, Guinea Pig: 100%, Horse: 93%, Human: 100%, Mouse: 100%, Rabbit: 100%, Rat: 100%

    Attributs du produit

    This is a rabbit polyclonal antibody against CTBP2. It was validated on Western Blot using a cell lysate as a positive control.

    Purification

    Affinity Purified

    Immunogène

    The immunogen is a synthetic peptide directed towards the C terminal region of human CTBP2
  • Indications d'application

    Optimal working dilutions should be determined experimentally by the investigator.

    Commentaires

    Antigen size: 985 AA

    Restrictions

    For Research Use only
  • Format

    Liquid

    Concentration

    Lot specific

    Buffer

    Liquid. Purified antibody supplied in 1x PBS buffer with 0.09 % (w/v) sodium azide and 2 % sucrose.

    Agent conservateur

    Sodium azide

    Précaution d'utilisation

    This product contains Sodium azide: a POISONOUS AND HAZARDOUS SUBSTANCE which should be handled by trained staff only.

    Conseil sur la manipulation

    Avoid repeated freeze-thaw cycles.

    Stock

    -20 °C

    Stockage commentaire

    For short term use, store at 2-8°C up to 1 week. For long term storage, store at -20°C in small aliquots to prevent freeze-thaw cycles.
  • Antigène

    CTBP2 (C-terminal Binding Protein 2 (CTBP2))

    Autre désignation

    CTBP2

    Sujet

    This gene produces alternative transcripts encoding two distinct proteins. One protein is a transcriptional repressor, while the other isoform is a major component of specialized synapses known as synaptic ribbons. Both proteins contain a NAD+ binding domain similar to NAD+-dependent 2-hydroxyacid dehydrogenases. A portion of the 3' untranslated region was used to map this gene to chromosome 21q21.3, however, it was noted that similar loci elsewhere in the genome are likely.This gene produces alternative transcripts encoding two distinct proteins. One protein is a transcriptional repressor, while the other isoform is a major component of specialized synapses known as synaptic ribbons. Both proteins contain a NAD+ binding domain similar to NAD+-dependent 2-hydroxyacid dehydrogenases. A portion of the 3' untranslated region was used to map this gene to chromosome 21q21.3, however, it was noted that similar loci elsewhere in the genome are likely. Blast analysis shows that this gene is present on chromosome 10.
    Alias Symbols: -
    Protein Interaction Partner: NOL4, TGIF1, HOXB5, NOL4L, FUNDC1, FOXP2, RIMBP3, LCOR, ZNF750, DMRTB1, TSHZ3, BCAS3, BAZ2B, PLCB1, IKZF2, RAI2, ZBTB18, IKZF1, CTBP1, FLI1, SUMO2, SUMO3, SPRTN, SMAD6, UBC, SUMO1, NEDD8, TRNT1, DDX19B, SGTA, DYRK1B, NRIP1, ZNF512B, C15orf39, CTPS2, PPP1R
    Protein Size: 985

    Poids moléculaire

    106 kDa

    ID gène

    1488

    NCBI Accession

    NM_022802, NP_073713

    UniProt

    P56545
Vous êtes ici:
Chat with us!