AOC3 anticorps
Aperçu rapide pour AOC3 anticorps (ABIN2855031)
Antigène
Voir toutes AOC3 AnticorpsReactivité
Hôte
Clonalité
Conjugué
Application
-
-
Réactivité croisée
- Humain
-
Attributs du produit
-
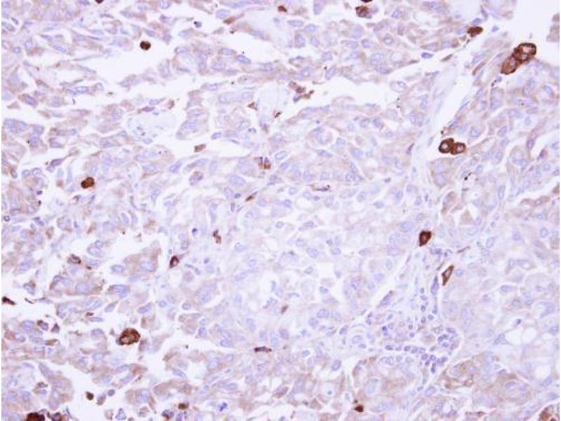
Rabbit Polyclonal antibody to VAP1 (amine oxidase, copper containing 3 (vascular adhesion protein 1))
VAP1 antibody -
Purification
- Purified by antigen-affinity chromatography.
-
Immunogène
- Recombinant protein encompassing a sequence within the center region of human VAP1. The exact sequence is proprietary.
-
Isotype
- IgG
-
-
-
-
Indications d'application
- WB: 1:500-1:3000. IHC-P: 1:100-1:1000. Optimal dilutions/concentrations should be determined by the researcher. Not tested in other applications.
-
Commentaires
-
Positive Control: A431
-
Restrictions
- For Research Use only
-
-
-
Format
- Liquid
-
Concentration
- 0.33 mg/mL
-
Buffer
- 0.1M Tris-Glycine ( pH 7), 10 % Glycerol, 0.01 % Thimerosal
-
Agent conservateur
- Thimerosal (Merthiolate)
-
Précaution d'utilisation
- This product contains Thimerosal (Merthiolate): a POISONOUS AND HAZARDOUS SUBSTANCE which should be handled by trained staff only.
-
Stock
- 4 °C,-20 °C
-
Stockage commentaire
- Store as concentrated solution. Centrifuge briefly prior to opening vial. For short-term storage (1-2 weeks), store at 4°C. For long-term storage, aliquot and store at -20°C or below. Avoid multiple freeze-thaw cycles.
-
-
- AOC3 (Amine Oxidase, Copper Containing 3 (Vascular Adhesion Protein 1) (AOC3))
-
Autre désignation
- amine oxidase copper containing 3
-
Sujet
-
Copper amine oxidases catalyze the oxidative conversion of amines to aldehydes in the presence of copper and quinone cofactor. The product is a major protein on the adipocyte plasma membrane. It has adhesive properties and also has functional monoamine oxidase activity. A pseudogene for this gene has been discribed and is located approximately 9-kb downstream.
Cellular Localization: Membrane -
Poids moléculaire
- 85 kDa
-
ID gène
- 8639
-
UniProt
- Q16853
-
Pathways
- Feeding Behaviour
Antigène
-