Tel:
+49 (0)241 95 163 153
Fax:
+49 (0)241 95 163 155
E-Mail:
orders@anticorps-enligne.fr

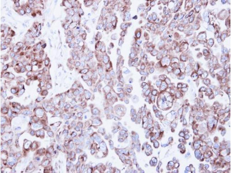
RRBP1 anticorps (C-Term)

L’anticorps anti-RRBP1 Polyclonal Lapin est utilisé pour la détection de RRBP1 dans des échantillons de Humain. Il a été validé pour WB, IF, ICC et IHC (p).
N° du produit ABIN2855195
583,17 €
Plus frais de livraison 40,00 € et TVA
100 μL
Destination: France
Envoi sous 7 à 10 jours ouvrables

Aperçu rapide pour RRBP1 anticorps (C-Term) (ABIN2855195)

Antigène

Voir toutes RRBP1 Anticorps
RRBP1 (Ribosome Binding Protein 1 (RRBP1))

Reactivité

  • 47
  • 10
  • 3
  • 2
  • 2
  • 2
  • 2
  • 1
  • 1
Humain

Hôte

  • 45
  • 2
Lapin

Clonalité

  • 45
  • 2
Polyclonal

Conjugué

  • 21
  • 2
  • 2
  • 2
  • 2
  • 1
  • 1
  • 1
  • 1
  • 1
  • 1
  • 1
  • 1
  • 1
  • 1
  • 1
  • 1
  • 1
  • 1
  • 1
  • 1
  • 1
  • 1
Cet anticorp RRBP1 est non-conjugé

Application

  • 40
  • 16
  • 14
  • 13
  • 13
  • 7
  • 5
  • 5
  • 4
  • 4
  • 3
Western Blotting (WB), Immunofluorescence (IF), Immunocytochemistry (ICC), Immunohistochemistry (Paraffin-embedded Sections) (IHC (p))

Classe de qualité

KO Validated
  • Épitope

    • 16
    • 8
    • 3
    • 2
    • 1
    • 1
    • 1
    • 1
    • 1
    • 1
    • 1
    • 1
    C-Term

     Réactivité croisée

    Humain, Souris

    Attributs du produit

    Rabbit Polyclonal antibody to Ribosome binding protein 1 (ribosome binding protein 1 homolog 180 kDa (dog))
    Ribosome binding protein 1 antibody [C3], C-term

    Purification

    Purified by antigen-affinity chromatography.

    Immunogène

    Recombinant protein encompassing a sequence within the C-terminus region of human Ribosome binding protein 1. The exact sequence is proprietary.

    Isotype

    IgG
  • Indications d'application

    WB: 1:500-1:3000. ICC/IF: 1:100-1:1000. IHC-P: 1:100-1:1000. Optimal dilutions/concentrations should be determined by the researcher. Not tested in other applications.

    Commentaires

    Positive Control: NIH-3T3 , HepG2

    Validation: KO/KD

    Restrictions

    For Research Use only
  • Format

    Liquid

    Concentration

    1 mg/mL

    Buffer

    1XPBS ( pH 7), 40 % Glycerol, 0.01 % Thimerosal

    Agent conservateur

    Thimerosal (Merthiolate)

    Précaution d'utilisation

    This product contains Thimerosal (Merthiolate): a POISONOUS AND HAZARDOUS SUBSTANCE which should be handled by trained staff only.

    Stock

    4 °C,-20 °C

    Stockage commentaire

    Store as concentrated solution. Centrifuge briefly prior to opening vial. For short-term storage (1-2 weeks), store at 4°C. For long-term storage, aliquot and store at -20°C or below. Avoid multiple freeze-thaw cycles.
  • Antigène

    RRBP1 (Ribosome Binding Protein 1 (RRBP1))

    Autre désignation

    ribosome binding protein 1

    Sujet

    Analysis of cDNA clones indicates that ribosome binding protein 1 may exist in different forms due to removal of tandem repeats, or partial intraexonic splicing of RRBP1. The form presented here is lacking the canine p180 ribosome-binding domain, NQGKKAEGAQ, which is tandemly repeated close to the N-terminus in other forms that haven't been fully characterized. RRBP1 has been excluded as a candidate gene in the cause of Alagille syndrome. Alternate splicing results in multiple transcript variants.

    Cellular Localization: Endoplasmic reticulum membrane, Single-pass type III membrane protein

    Poids moléculaire

    152 kDa

    ID gène

    6238

    UniProt

    Q9P2E9
Vous êtes ici:
Chat with us!