Tel:
+49 (0)241 95 163 153
Fax:
+49 (0)241 95 163 155
E-Mail:
orders@anticorps-enligne.fr

HNRNPAB anticorps

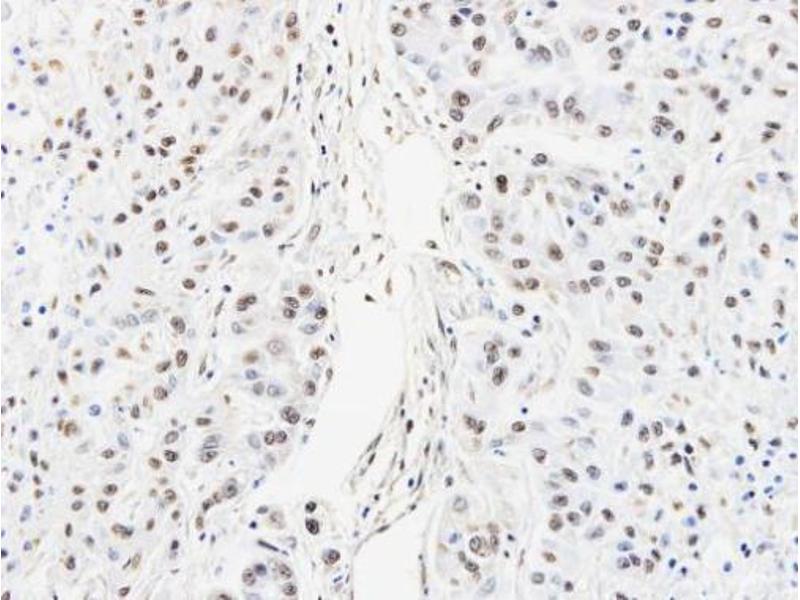
Cet anticorps anti-HNRNPAB Polyclonal Lapin (ABIN2855199) détecte spécifiquement HNRNPAB dans WB, IF, IHC (p), ChIP-seq, ICC, IHC (wm) et IP. L’anticorps est réactif avec des échantillons de Humain.
N° du produit ABIN2855199
583,17 €
Plus frais de livraison 40,00 € et TVA
100 μL
Destination: France
Envoi sous 7 à 10 jours ouvrables

Aperçu rapide pour HNRNPAB anticorps (ABIN2855199)

Antigène

Voir toutes HNRNPAB Anticorps
HNRNPAB (Heterogeneous Nuclear Ribonucleoprotein A/B (HNRNPAB))

Reactivité

  • 33
  • 17
  • 6
  • 6
  • 4
  • 4
  • 2
  • 2
  • 2
  • 2
  • 1
  • 1
  • 1
Humain

Hôte

  • 33
Lapin

Clonalité

  • 33
Polyclonal

Conjugué

  • 17
  • 3
  • 3
  • 2
  • 1
  • 1
  • 1
  • 1
  • 1
  • 1
  • 1
  • 1
Cet anticorp HNRNPAB est non-conjugé

Application

Western Blotting (WB), Immunofluorescence (IF), Immunohistochemistry (Paraffin-embedded Sections) (IHC (p)), ChIP DNA-Sequencing (ChIP-seq), Immunocytochemistry (ICC), Immunohistochemistry (Whole Mount) (IHC (wm)), Immunoprecipitation (IP)

Classe de qualité

KO Validated
  •  Réactivité croisée

    Humain, Poisson zèbre (Danio rerio)

    Attributs du produit

    Rabbit Polyclonal antibody to hnRNP A/B (heterogeneous nuclear ribonucleoprotein A/B)
    hnRNP A/B antibody

    Purification

    Purified by antigen-affinity chromatography.

    Immunogène

    Recombinant protein encompassing a sequence within the center region of human hnRNP AB. The exact sequence is proprietary.

    Isotype

    IgG
  • Indications d'application

    WB: 1:500-1:3000. ICC/IF: 1:100-1:1000. IHC-P: 1:100-1:1000. Optimal dilutions/concentrations should be determined by the researcher. Not tested in other applications.

    Commentaires

    Positive Control: A431 , 293T

    Validation: KO/KD

    Restrictions

    For Research Use only
  • Format

    Liquid

    Concentration

    0.26 mg/mL

    Buffer

    1XPBS ( pH 7), 1 % BSA, 20 % Glycerol, 0.01 % Thimerosal

    Agent conservateur

    Thimerosal (Merthiolate)

    Précaution d'utilisation

    This product contains Thimerosal (Merthiolate): a POISONOUS AND HAZARDOUS SUBSTANCE which should be handled by trained staff only.

    Stock

    4 °C,-20 °C

    Stockage commentaire

    Store as concentrated solution. Centrifuge briefly prior to opening vial. For short-term storage (1-2 weeks), store at 4°C. For long-term storage, aliquot and store at -20°C or below. Avoid multiple freeze-thaw cycles.
  • Antigène

    HNRNPAB (Heterogeneous Nuclear Ribonucleoprotein A/B (HNRNPAB))

    Autre désignation

    heterogeneous nuclear ribonucleoprotein A/B

    Sujet

    This gene belongs to the subfamily of ubiquitously expressed heterogeneous nuclear ribonucleoproteins (hnRNPs). The hnRNPs are produced by RNA polymerase II and are components of the heterogeneous nuclear RNA (hnRNA) complexes. They are associated with pre-mRNAs in the nucleus and appear to influence pre-mRNA processing and other aspects of mRNA metabolism and transport. While all of the hnRNPs are present in the nucleus, some seem to shuttle between the nucleus and the cytoplasm. The hnRNP proteins have distinct nucleic acid binding properties. The protein encoded by this gene, which binds to one of the components of the multiprotein editosome complex, has two repeats of quasi-RRM (RNA recognition motif) domains that bind to RNAs. Two alternatively spliced transcript variants encoding different isoforms have been described for this gene.

    Cellular Localization: Nucleus

    Poids moléculaire

    36 kDa

    ID gène

    3182

    UniProt

    Q99729
Vous êtes ici:
Chat with us!