Tel:
+49 (0)241 95 163 153
Fax:
+49 (0)241 95 163 155
E-Mail:
orders@anticorps-enligne.fr

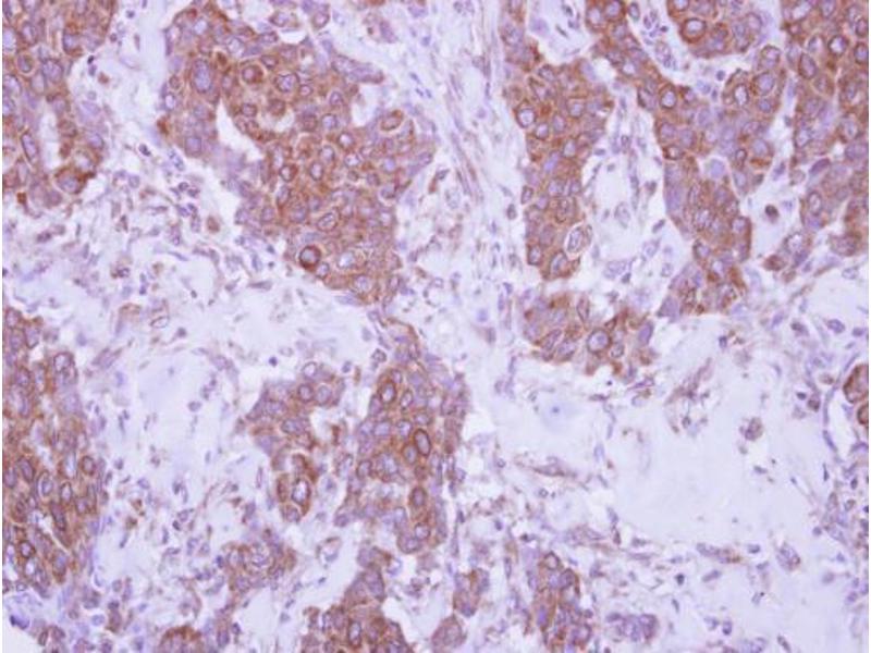
CD79b anticorps (Center)

L’anticorps anti-CD79b Polyclonal Lapin est utilisé pour la détection de CD79b dans des échantillons de Humain. Il a été validé pour WB et IHC (p).
N° du produit ABIN2855210
583,17 €
Plus frais de livraison 40,00 € et TVA
100 μL
Destination: France
Envoi sous 7 à 10 jours ouvrables

Aperçu rapide pour CD79b anticorps (Center) (ABIN2855210)

Antigène

Voir toutes CD79b (CD79B) Anticorps
CD79b (CD79B) (CD79b Molecule, Immunoglobulin-Associated beta (CD79B))

Reactivité

  • 210
  • 72
  • 30
  • 8
  • 8
  • 2
  • 2
Humain

Hôte

  • 114
  • 90
  • 15
  • 10
  • 9
  • 8
  • 2
  • 2
Lapin

Clonalité

  • 187
  • 54
  • 3
Polyclonal

Conjugué

  • 103
  • 21
  • 19
  • 18
  • 13
  • 5
  • 5
  • 5
  • 5
  • 5
  • 5
  • 5
  • 3
  • 3
  • 3
  • 3
  • 3
  • 3
  • 3
  • 3
  • 2
  • 2
  • 2
  • 2
  • 1
  • 1
  • 1
  • 1
  • 1
  • 1
  • 1
Cet anticorp CD79b est non-conjugé

Application

  • 123
  • 106
  • 86
  • 54
  • 42
  • 39
  • 34
  • 28
  • 11
  • 11
  • 6
  • 5
  • 4
  • 3
  • 3
  • 2
  • 2
  • 2
  • 1
Western Blotting (WB), Immunohistochemistry (Paraffin-embedded Sections) (IHC (p))
  • Épitope

    • 64
    • 13
    • 8
    • 8
    • 7
    • 5
    • 4
    • 2
    • 2
    • 2
    • 2
    • 2
    • 2
    • 1
    • 1
    • 1
    • 1
    • 1
    • 1
    Center

    Attributs du produit

    Rabbit Polyclonal antibody to CD79b (CD79b molecule, immunoglobulin-associated beta)
    CD79b antibody

    Purification

    Purified by antigen-affinity chromatography.

    Immunogène

    Recombinant protein encompassing a sequence within the center region of human CD79b. The exact sequence is proprietary.

    Isotype

    IgG
  • Indications d'application

    Suggested dilution Reference IHC (Formalin-fixed paraffin-embedded sections) 1:100-1:1000* Western blot 1:500-1:3000* Not tested in other applications. *Optimal dilutions/concentrations should be determined by the researcher.Suggested dilutionReferenceIHC (Formalin-fixed paraffin-embedded sections)1:100-1:1000* Western blot1:500-1:3000*

    Commentaires

    Positive Control: K562 , THP-1

    Restrictions

    For Research Use only
  • Format

    Liquid

    Concentration

    0.49 mg/mL

    Buffer

    0.1M Tris, 0.1M Glycine, 20 % Glycerol ( pH 7). 0.01 % Thimerosal was added as a preservative.

    Agent conservateur

    Thimerosal (Merthiolate)

    Précaution d'utilisation

    This product contains Thimerosal (Merthiolate): a POISONOUS AND HAZARDOUS SUBSTANCE which should be handled by trained staff only.

    Stock

    -20 °C

    Stockage commentaire

    Keep as concentrated solution. Aliquot and store at -20°C or below. Avoid multiple freeze-thaw cycles.
  • Antigène

    CD79b (CD79B) (CD79b Molecule, Immunoglobulin-Associated beta (CD79B))

    Autre désignation

    CD79b

    Sujet

    The B lymphocyte antigen receptor is a multimeric complex that includes the antigen-specific component, surface immunoglobulin (Ig). Surface Ig non-covalently associates with two other proteins, Ig-alpha and Ig-beta, which are necessary for expression and function of the B-cell antigen receptor. This gene encodes the Ig-beta protein of the B-cell antigen component. Alternatively spliced transcript variants encoding different isoforms have been described.

    Cellular Localization: Cell membrane

    Poids moléculaire

    26 kDa

    ID gène

    974

    Pathways

    BCR Signaling
Vous êtes ici:
Chat with us!