Tel:
+49 (0)241 95 163 153
Fax:
+49 (0)241 95 163 155
E-Mail:
orders@anticorps-enligne.fr

ACTN1 anticorps

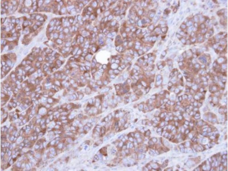
Cet anticorps anti-ACTN1 Polyclonal Lapin (ABIN2855589) détecte spécifiquement ACTN1 dans WB, IHC (p) et IHC (wm). L’anticorps est réactif avec des échantillons de Humain.
N° du produit ABIN2855589
583,17 €
Plus frais de livraison 40,00 € et TVA
100 μL
Destination: France
Envoi sous 7 à 10 jours ouvrables

Aperçu rapide pour ACTN1 anticorps (ABIN2855589)

Antigène

Voir toutes ACTN1 Anticorps
ACTN1 (Actinin, alpha 1 (ACTN1))

Reactivité

  • 62
  • 24
  • 21
  • 5
  • 5
  • 4
  • 3
  • 3
  • 3
  • 3
  • 2
  • 1
  • 1
Humain

Hôte

  • 49
  • 12
  • 1
Lapin

Clonalité

  • 50
  • 12
Polyclonal

Conjugué

  • 41
  • 4
  • 4
  • 2
  • 2
  • 2
  • 1
  • 1
  • 1
  • 1
  • 1
  • 1
  • 1
Cet anticorp ACTN1 est non-conjugé

Application

  • 42
  • 26
  • 23
  • 16
  • 9
  • 6
  • 5
  • 4
  • 3
  • 3
  • 2
  • 1
  • 1
Western Blotting (WB), Immunohistochemistry (Paraffin-embedded Sections) (IHC (p)), Immunohistochemistry (Whole Mount) (IHC (wm))
  •  Réactivité croisée

    Humain, Souris, Rat, Poisson zèbre (Danio rerio)

    Attributs du produit

    Rabbit Polyclonal antibody to alpha Actinin 1 (actinin, alpha 1)
    alpha Actinin 1 antibody [N2N3]

    Purification

    Purified by antigen-affinity chromatography.

    Immunogène

    Recombinant protein encompassing a sequence within the center region of human alpha Actinin 1. The exact sequence is proprietary.

    Isotype

    IgG
  • Indications d'application

    WB: 1:500-1:3000. IHC-P: 1:100-1:1000. Optimal dilutions/concentrations should be determined by the researcher. Not tested in other applications.

    Commentaires

    Positive Control: NIH-3T3 , 293T , A431 , HeLa , HepG2 , PC-12 , Rat2 , rat brain

    Restrictions

    For Research Use only
  • Format

    Liquid

    Concentration

    0.09 mg/mL

    Buffer

    0.1M Tris-Glycine ( pH 7), 10 % Glycerol, 0.01 % Thimerosal

    Agent conservateur

    Thimerosal (Merthiolate)

    Précaution d'utilisation

    This product contains Thimerosal (Merthiolate): a POISONOUS AND HAZARDOUS SUBSTANCE which should be handled by trained staff only.

    Stock

    4 °C,-20 °C

    Stockage commentaire

    Store as concentrated solution. Centrifuge briefly prior to opening vial. For short-term storage (1-2 weeks), store at 4°C. For long-term storage, aliquot and store at -20°C or below. Avoid multiple freeze-thaw cycles.
  • Antigène

    ACTN1 (Actinin, alpha 1 (ACTN1))

    Autre désignation

    actinin alpha 1

    Sujet

    Alpha actinins belong to the spectrin gene superfamily which represents a diverse group of cytoskeletal proteins, including the alpha and beta spectrins and dystrophins. Alpha actinin is an actin-binding protein with multiple roles in different cell types. In nonmuscle cells, the cytoskeletal isoform is found along microfilament bundles and adherens-type junctions, where it is involved in binding actin to the membrane. In contrast, skeletal, cardiac, and smooth muscle isoforms are localized to the Z-disc and analogous dense bodies, where they help anchor the myofibrillar actin filaments. This gene encodes a nonmuscle, cytoskeletal, alpha actinin isoform and maps to the same site as the structurally similar erythroid beta spectrin gene. Three transcript variants encoding different isoforms have been found for this gene.

    Cellular Localization: Cytoplasm , cytoskeleton , myofibril , sarcomere , Z-disk

    Poids moléculaire

    103 kDa

    ID gène

    87

    UniProt

    P12814

    Pathways

    Cell-Cell Junction Organization
Vous êtes ici:
Chat with us!