Tel:
+49 (0)241 95 163 153
Fax:
+49 (0)241 95 163 155
E-Mail:
orders@anticorps-enligne.fr

G Protein alpha Inhibitor 3 (Center) anticorps

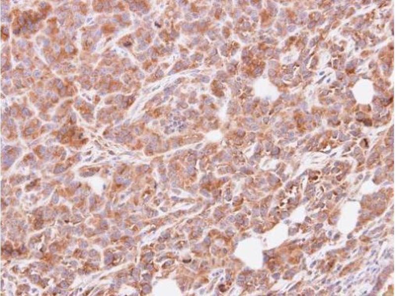
L’anticorps anti-G Protein alpha Inhibitor 3 Polyclonal Lapin est utilisé pour la détection de G Protein alpha Inhibitor 3 dans des échantillons de Humain et Souris. Il a été validé pour IHC (p) et WB.
N° du produit ABIN2855678
583,17 €
Plus frais de livraison 40,00 € et TVA
100 μL
Destination: France
Envoi sous 7 à 10 jours ouvrables

Aperçu rapide pour G Protein alpha Inhibitor 3 (Center) anticorps (ABIN2855678)

Antigène

G Protein alpha Inhibitor 3

Reactivité

Humain, Souris

Hôte

Lapin

Clonalité

Polyclonal

Application

Immunohistochemistry (Paraffin-embedded Sections) (IHC (p)), Western Blotting (WB)
  • Épitope

    Center

     Réactivité croisée

    Macaque rhésus

    Réactivité croisée (Details)

    Rhesus Monkey (100 %)

    Attributs du produit

    Rabbit Polyclonal antibody to G protein alpha Inhibitor 3 (guanine nucleotide binding protein (G protein), alpha inhibiting activity polypeptide 3)
    G protein alpha Inhibitor 3 antibody [N2C3]

    Purification

    Purified by antigen-affinity chromatography.

    Immunogène

    Recombinant protein encompassing a sequence within the center region of human G protein alpha Inhibitor 3. The exact sequence is proprietary.

    Isotype

    IgG
  • Indications d'application

    Suggested dilution Reference IHC (Formalin-fixed paraffin-embedded sections) 1:100-1:1000* Western blot 1:500-1:3000* Not tested in other applications. *Optimal dilutions/concentrations should be determined by the researcher.Suggested dilutionReferenceIHC (Formalin-fixed paraffin-embedded sections)1:100-1:1000* Western blot1:500-1:3000*

    Commentaires

    Positive Control: 293T , A431 , H1299 , HeLaS3 , HepG2 , Molt-4 , Raji , mouse brain

    Restrictions

    For Research Use only
  • Format

    Liquid

    Concentration

    0.94 mg/mL

    Buffer

    0.1M Tris, 0.1M Glycine, 10 % Glycerol ( pH 7). 0.01 % Thimerosal was added as a preservative.

    Agent conservateur

    Thimerosal (Merthiolate)

    Précaution d'utilisation

    This product contains Thimerosal (Merthiolate): a POISONOUS AND HAZARDOUS SUBSTANCE which should be handled by trained staff only.

    Stock

    -20 °C

    Stockage commentaire

    Keep as concentrated solution. Aliquot and store at -20°C or below. Avoid multiple freeze-thaw cycles.
  • Antigène

    G Protein alpha Inhibitor 3

    Sujet

    Guanine nucleotide-binding proteins (G proteins) are involved as modulators or transducers in various transmembrane signaling systems. G(k) is the stimulatory G protein of receptor-regulated K(+) channels.

    Poids moléculaire

    41 kDa

    ID gène

    2773
Vous êtes ici:
Chat with us!