Tel:
+49 (0)241 95 163 153
Fax:
+49 (0)241 95 163 155
E-Mail:
orders@anticorps-enligne.fr

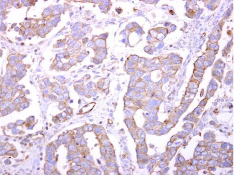
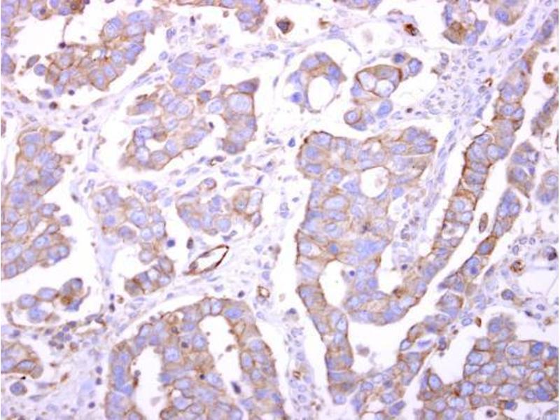
ZBTB24 anticorps (C-Term)

L’anticorps anti-ZBTB24 Polyclonal Lapin est utilisé pour la détection de ZBTB24 dans des échantillons de Humain et Souris. Il a été validé pour WB, IHC (p), IF et ICC.
N° du produit ABIN2855876
583,17 €
Plus frais de livraison 40,00 € et TVA
100 μL
Destination: France
Envoi sous 7 à 10 jours ouvrables

Aperçu rapide pour ZBTB24 anticorps (C-Term) (ABIN2855876)

Antigène

Voir toutes ZBTB24 Anticorps
ZBTB24 (Zinc Finger and BTB Domain Containing 24 (ZBTB24))

Reactivité

  • 15
  • 9
  • 2
Humain, Souris

Hôte

  • 10
  • 4
  • 1
Lapin

Clonalité

  • 11
  • 4
Polyclonal

Conjugué

  • 10
  • 1
  • 1
  • 1
  • 1
  • 1
Cet anticorp ZBTB24 est non-conjugé

Application

  • 12
  • 9
  • 9
  • 2
  • 1
  • 1
Western Blotting (WB), Immunohistochemistry (Paraffin-embedded Sections) (IHC (p)), Immunofluorescence (IF), Immunocytochemistry (ICC)
  • Épitope

    • 8
    • 3
    • 1
    • 1
    C-Term

     Réactivité croisée

    Rat (Rattus), Poisson zèbre (Danio rerio), Xenopus laevis, Xenopus tropicalis, Porc, Poulet, Macaque rhésus, Boeuf (Vache)

    Réactivité croisée (Details)

    Rat (100 %), Zebrafish (100 %), Xenopus laevis (100 %), Xenopus Tropicalis (100 %), Pig (93 %), Chicken (100 %), Rhesus Monkey (100 %), Bovine (93 %)

    Attributs du produit

    Rabbit Polyclonal antibody to Bif1 (SH3-domain GRB2-like endophilin B1)
    Bif-1 antibody [C2C3], C-term

    Purification

    Purified by antigen-affinity chromatography.

    Immunogène

    Carrier-protein conjugated synthetic peptide encompassing a sequence within the C-terminus region of human Bif-1. The exact sequence is proprietary.

    Isotype

    IgG
  • Indications d'application

    Suggested dilution Reference ICC/IF 1:100-1:1000* IHC (Formalin-fixed paraffin-embedded sections) 1:100-1:1000* Western blot 1:500-1:3000* Not tested in other applications. *Optimal dilutions/concentrations should be determined by the researcher.Suggested dilutionReferenceICC/IF1:100-1:1000* IHC (Formalin-fixed paraffin-embedded sections)1:100-1:1000* Western blot1:500-1:3000*

    Commentaires

    Positive Control: H1299 , NIH-3T3 , JC , BCL-1

    Restrictions

    For Research Use only
  • Format

    Liquid

    Concentration

    0.57 mg/mL

    Buffer

    0.1M Tris, 0.1M Glycine, 10 % Glycerol ( pH 7). 0.01 % Thimerosal was added as a preservative.

    Agent conservateur

    Thimerosal (Merthiolate)

    Précaution d'utilisation

    This product contains Thimerosal (Merthiolate): a POISONOUS AND HAZARDOUS SUBSTANCE which should be handled by trained staff only.

    Stock

    -20 °C

    Stockage commentaire

    Keep as concentrated solution. Aliquot and store at -20°C or below. Avoid multiple freeze-thaw cycles.
  • Antigène

    ZBTB24 (Zinc Finger and BTB Domain Containing 24 (ZBTB24))

    Autre désignation

    Bif-1

    Sujet

    May be required for normal outer mitochondrial membrane dynamics. Required for coatomer-mediated retrograde transport in certain cells. May recruit other proteins to membranes with high curvature. May promote membrane fusion.

    Cellular Localization: Cytoplasm , Golgi apparatus membrane, Peripheral membrane protein (By similarity) , Mitochondrion outer membrane, Peripheral membrane protein

    Poids moléculaire

    41 kDa

    ID gène

    51100
Vous êtes ici:
Chat with us!