Tel:
+49 (0)241 95 163 153
Fax:
+49 (0)241 95 163 155
E-Mail:
orders@anticorps-enligne.fr

PKA 2 beta (Center) anticorps

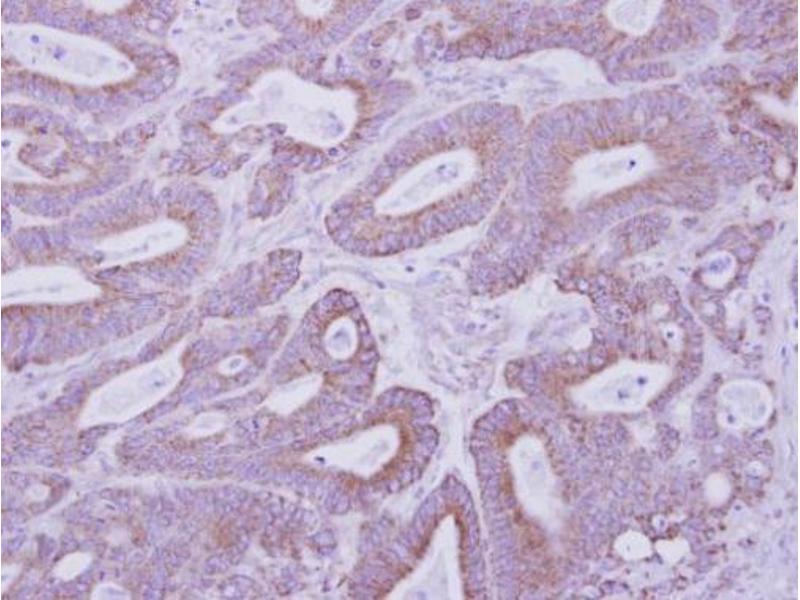
Cet anticorps Lapin Polyclonal détecte spécifiquement PKA 2 beta dans WB, ICC, IF et IHC (p). Il présente une réactivité avec des échantillons de Humain et Souris.
N° du produit ABIN2856124
583,17 €
Plus frais de livraison 40,00 € et TVA
100 μL
Destination: France
Envoi sous 7 à 10 jours ouvrables

Aperçu rapide pour PKA 2 beta (Center) anticorps (ABIN2856124)

Antigène

PKA 2 beta

Reactivité

  • 18
  • 18
  • 16
Humain, Souris

Hôte

  • 18
Lapin

Clonalité

  • 16
  • 2
Polyclonal

Conjugué

  • 2
  • 2
  • 2
  • 2
  • 2
  • 2
  • 2
  • 2
  • 1
  • 1
Inconjugué

Application

  • 10
  • 9
  • 9
  • 9
  • 9
  • 9
Western Blotting (WB), Immunocytochemistry (ICC), Immunofluorescence (IF), Immunohistochemistry (Paraffin-embedded Sections) (IHC (p))
  • Épitope

    • 7
    • 2
    • 2
    Center

     Réactivité croisée

    Rat (Rattus), Xenopus laevis, Boeuf (Vache)

    Réactivité croisée (Details)

    Rat (96 %), Xenopus laevis (84 %), Bovine (99 %)

    Attributs du produit

    Rabbit Polyclonal antibody to PKA 2 beta (protein kinase, cAMP-dependent, regulatory, type II, beta)
    PKA 2 beta antibody

    Purification

    Purified by antigen-affinity chromatography.

    Immunogène

    Recombinant protein encompassing a sequence within the center region of human PKA 2 beta. The exact sequence is proprietary.

    Isotype

    IgG
  • Indications d'application

    Suggested dilution Reference ICC/IF 1:100-1:1000* IHC (Formalin-fixed paraffin-embedded sections) 1:100-1:1000* Western blot 1:500-1:3000* Not tested in other applications. *Optimal dilutions/concentrations should be determined by the researcher.Suggested dilutionReferenceICC/IF1:100-1:1000* IHC (Formalin-fixed paraffin-embedded sections)1:100-1:1000* Western blot1:500-1:3000*

    Commentaires

    Positive Control: A431 , H1299 , HeLa , HepG2 , mouse brain

    Restrictions

    For Research Use only
  • Format

    Liquid

    Concentration

    0.67 mg/mL

    Buffer

    0.1M Tris, 0.1M Glycine, 10 % Glycerol ( pH 7). 0.01 % Thimerosal was added as a preservative.

    Agent conservateur

    Thimerosal (Merthiolate)

    Précaution d'utilisation

    This product contains Thimerosal (Merthiolate): a POISONOUS AND HAZARDOUS SUBSTANCE which should be handled by trained staff only.

    Stock

    -20 °C

    Stockage commentaire

    Keep as concentrated solution. Aliquot and store at -20°C or below. Avoid multiple freeze-thaw cycles.
  • Antigène

    PKA 2 beta

    Sujet

    CAMP is a signaling molecule important for a variety of cellular functions. cAMP exerts its effects by activating the cAMP-dependent protein kinase, which transduces the signal through phosphorylation of different target proteins. The inactive kinase holoenzyme is a tetramer composed of two regulatory and two catalytic subunits. cAMP causes the dissociation of the inactive holoenzyme into a dimer of regulatory subunits bound to four cAMP and two free monomeric catalytic subunits. Four different regulatory subunits and three catalytic subunits have been identified in humans. The protein encoded by this gene is one of the regulatory subunits. This subunit can be phosphorylated by the activated catalytic subunit. This subunit has been shown to interact with and suppress the transcriptional activity of the cAMP responsive element binding protein 1 (CREB1) in activated T cells. Knockout studies in mice suggest that this subunit may play an important role in regulating energy balance and adiposity. The studies also suggest that this subunit may mediate the gene induction and cataleptic behavior induced by haloperidol.

    Poids moléculaire

    46 kDa

    ID gène

    5577
Vous êtes ici:
Chat with us!