Tel:
+49 (0)241 95 163 153
Fax:
+49 (0)241 95 163 155
E-Mail:
orders@anticorps-enligne.fr

TRIP4 anticorps

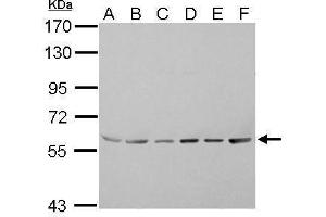
Cet anticorps anti-TRIP4 Polyclonal Lapin (ABIN2856186) détecte spécifiquement TRIP4 dans WB. L’anticorps est réactif avec des échantillons de Humain.
N° du produit ABIN2856186
765,00 €
Plus frais de livraison 40,00 € et TVA
100 μL
Destination: France
Envoi sous 7 à 10 jours ouvrables

Aperçu rapide pour TRIP4 anticorps (ABIN2856186)

Antigène

Voir toutes TRIP4 Anticorps
TRIP4 (Thyroid Hormone Receptor Interactor 4 (TRIP4))

Reactivité

  • 42
  • 22
  • 6
  • 4
  • 2
  • 2
  • 2
  • 2
  • 1
  • 1
  • 1
  • 1
Humain

Hôte

  • 40
  • 2
Lapin

Clonalité

  • 42
Polyclonal

Conjugué

  • 26
  • 3
  • 3
  • 2
  • 1
  • 1
  • 1
  • 1
  • 1
  • 1
  • 1
  • 1
Cet anticorp TRIP4 est non-conjugé

Application

  • 28
  • 20
  • 9
  • 5
  • 5
  • 1
  • 1
  • 1
Western Blotting (WB)
  •  Réactivité croisée

    Souris

    Attributs du produit

    Rabbit Polyclonal antibody to ASC1 (thyroid hormone receptor interactor 4)
    ASC1 antibody

    Purification

    Purified by antigen-affinity chromatography.

    Immunogène

    Recombinant protein encompassing a sequence within the center region of human ASC1. The exact sequence is proprietary.

    Isotype

    IgG
  • Indications d'application

    WB: 1:500-1:3000. Optimal dilutions/concentrations should be determined by the researcher. Not tested in other applications.

    Commentaires

    Positive Control: Neuro2A , GL261 , C8D30 , NIH-3T3 , BCL-1 , Raw264.7

    Restrictions

    For Research Use only
  • Format

    Liquid

    Concentration

    1 mg/mL

    Buffer

    0.1M Tris-Glycine ( pH 7), 10 % Glycerol, 0.01 % Thimerosal

    Agent conservateur

    Thimerosal (Merthiolate)

    Précaution d'utilisation

    This product contains Thimerosal (Merthiolate): a POISONOUS AND HAZARDOUS SUBSTANCE which should be handled by trained staff only.

    Stock

    4 °C,-20 °C

    Stockage commentaire

    Store as concentrated solution. Centrifuge briefly prior to opening vial. For short-term storage (1-2 weeks), store at 4°C. For long-term storage, aliquot and store at -20°C or below. Avoid multiple freeze-thaw cycles.
  • Antigène

    TRIP4 (Thyroid Hormone Receptor Interactor 4 (TRIP4))

    Autre désignation

    thyroid hormone receptor interactor 4

    Sujet

    Transcription coactivator of nuclear receptors which functions in conjunction with CBP-p300 and SRC-1 and may play an important role in establishing distinct coactivator complexes under different cellular conditions. Plays a pivotal role in the transactivation of NF-kappa-B, SRF and AP1. Acts as a mediator of transrepression between nuclear receptor and either AP1 or NF-kappa-B. Plays a role in androgen receptor transactivation and in testicular function.

    Cellular Localization: Nucleus , Cytoplasm

    Poids moléculaire

    66 kDa

    ID gène

    9325

    UniProt

    Q15650
Vous êtes ici:
Chat with us!