Tel:
+49 (0)241 95 163 153
Fax:
+49 (0)241 95 163 155
E-Mail:
orders@anticorps-enligne.fr

MDH2 anticorps

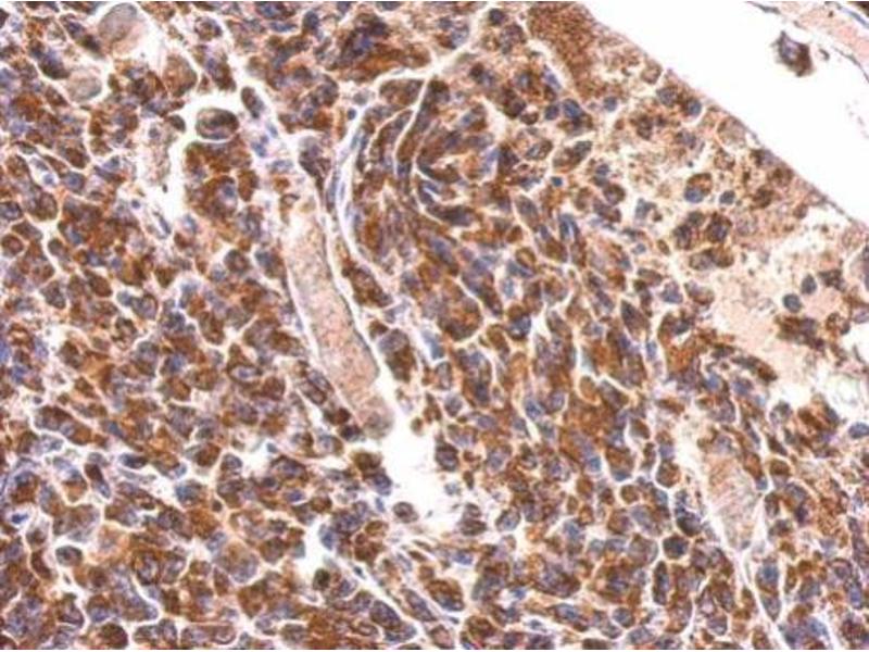
Cet anticorps anti-MDH2 Polyclonal Lapin (ABIN2856204) détecte spécifiquement MDH2 dans WB, IHC (p), ICC et IF. L’anticorps est réactif avec des échantillons de Humain.
N° du produit ABIN2856204
583,17 €
Plus frais de livraison 40,00 € et TVA
100 μL
Destination: France
Envoi sous 7 à 10 jours ouvrables

Aperçu rapide pour MDH2 anticorps (ABIN2856204)

Antigène

Voir toutes MDH2 Anticorps
MDH2 (Malate Dehydrogenase 2, NAD (Mitochondrial) (MDH2))

Reactivité

  • 75
  • 48
  • 44
  • 2
  • 1
  • 1
  • 1
  • 1
  • 1
  • 1
  • 1
  • 1
  • 1
  • 1
Humain

Hôte

  • 67
  • 7
  • 2
Lapin

Clonalité

  • 40
  • 36
Polyclonal

Conjugué

  • 37
  • 5
  • 4
  • 4
  • 4
  • 4
  • 4
  • 4
  • 3
  • 3
  • 1
  • 1
  • 1
  • 1
Cet anticorp MDH2 est non-conjugé

Application

  • 66
  • 44
  • 19
  • 5
  • 4
  • 3
  • 3
  • 2
  • 2
  • 1
  • 1
Western Blotting (WB), Immunohistochemistry (Paraffin-embedded Sections) (IHC (p)), Immunocytochemistry (ICC), Immunofluorescence (IF)

Classe de qualité

KO Validated
  •  Réactivité croisée

    Humain, Souris, Rat

    Attributs du produit

    Rabbit Polyclonal antibody to MDH2 (malate dehydrogenase 2, NAD (mitochondrial))
    MDH2 antibody

    Purification

    Purified by antigen-affinity chromatography.

    Immunogène

    Recombinant protein encompassing a sequence within the center region of human MDH2. The exact sequence is proprietary.

    Isotype

    IgG
  • Indications d'application

    WB: 1:500-1:20000. ICC/IF: 1:100-1:1000. IHC-P: 1:100-1:1000. Optimal dilutions/concentrations should be determined by the researcher. Not tested in other applications.

    Commentaires

    Positive Control: Mouse brain , rat lung , 293T , A431 , HeLa , HepG2

    Validation: KO/KD

    Restrictions

    For Research Use only
  • Format

    Liquid

    Concentration

    0.38 mg/mL

    Buffer

    1XPBS ( pH 7), 1 % BSA, 20 % Glycerol, 0.025 % ProClin 300

    Agent conservateur

    ProClin

    Précaution d'utilisation

    This product contains ProClin: a POISONOUS AND HAZARDOUS SUBSTANCE which should be handled by trained staff only.

    Stock

    4 °C,-20 °C

    Stockage commentaire

    Store as concentrated solution. Centrifuge briefly prior to opening vial. For short-term storage (1-2 weeks), store at 4°C. For long-term storage, aliquot and store at -20°C or below. Avoid multiple freeze-thaw cycles.
  • Antigène

    MDH2 (Malate Dehydrogenase 2, NAD (Mitochondrial) (MDH2))

    Autre désignation

    malate dehydrogenase 2

    Sujet

    Malate dehydrogenase catalyzes the reversible oxidation of malate to oxaloacetate, utilizing the NAD/NADH cofactor system in the citric acid cycle. The protein encoded by this gene is localized to the mitochondria and may play pivotal roles in the malate-aspartate shuttle that operates in the metabolic coordination between cytosol and mitochondria.

    Cellular Localization: Mitochondrion matrix

    Poids moléculaire

    36 kDa

    ID gène

    4191

    UniProt

    P40926
Vous êtes ici:
Chat with us!