Tel:
+49 (0)241 95 163 153
Fax:
+49 (0)241 95 163 155
E-Mail:
orders@anticorps-enligne.fr

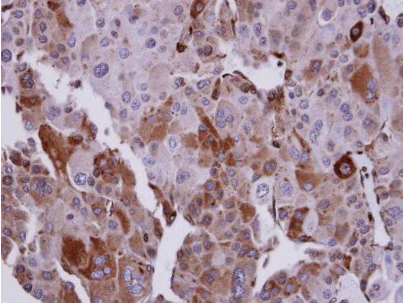
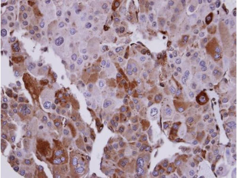
Ube2t anticorps (C-Term)

L’anticorps anti-Ube2t Polyclonal Lapin est utilisé pour la détection de Ube2t dans des échantillons de Humain. Il a été validé pour WB et IHC (p).
N° du produit ABIN2856389
765,00 €
Plus frais de livraison 40,00 € et TVA
100 μL
Destination: France
Envoi sous 7 à 10 jours ouvrables

Aperçu rapide pour Ube2t anticorps (C-Term) (ABIN2856389)

Antigène

Voir toutes Ube2t Anticorps
Ube2t (Ubiquitin-Conjugating Enzyme E2T (Ube2t))

Reactivité

  • 42
  • 15
  • 4
  • 1
  • 1
  • 1
  • 1
  • 1
  • 1
  • 1
Humain

Hôte

  • 37
  • 4
  • 1
Lapin

Clonalité

  • 36
  • 6
Polyclonal

Conjugué

  • 26
  • 3
  • 3
  • 2
  • 1
  • 1
  • 1
  • 1
  • 1
  • 1
  • 1
  • 1
Cet anticorp Ube2t est non-conjugé

Application

  • 30
  • 24
  • 6
  • 4
  • 2
  • 2
  • 1
Western Blotting (WB), Immunohistochemistry (Paraffin-embedded Sections) (IHC (p))
  • Épitope

    • 8
    • 7
    • 3
    • 2
    • 2
    • 1
    • 1
    • 1
    • 1
    • 1
    • 1
    • 1
    C-Term

     Réactivité croisée

    Humain

    Attributs du produit

    Rabbit Polyclonal antibody to UBE2T (ubiquitin-conjugating enzyme E2T (putative))
    UBE2T antibody [C2C3], C-term

    Purification

    Purified by antigen-affinity chromatography.

    Immunogène

    Carrier-protein conjugated synthetic peptide encompassing a sequence within the C-terminus region of human UBE2T. The exact sequence is proprietary.

    Isotype

    IgG
  • Indications d'application

    WB: 1:500-1:3000. IHC-P: 1:100-1:1000. Optimal dilutions/concentrations should be determined by the researcher. Not tested in other applications.

    Commentaires

    Positive Control: NT2D1

    Restrictions

    For Research Use only
  • Format

    Liquid

    Concentration

    1 mg/mL

    Buffer

    1XPBS ( pH 7), 10 % Glycerol, 0.01 % Thimerosal

    Agent conservateur

    Thimerosal (Merthiolate)

    Précaution d'utilisation

    This product contains Thimerosal (Merthiolate): a POISONOUS AND HAZARDOUS SUBSTANCE which should be handled by trained staff only.

    Stock

    4 °C,-20 °C

    Stockage commentaire

    Store as concentrated solution. Centrifuge briefly prior to opening vial. For short-term storage (1-2 weeks), store at 4°C. For long-term storage, aliquot and store at -20°C or below. Avoid multiple freeze-thaw cycles.
  • Antigène

    Ube2t (Ubiquitin-Conjugating Enzyme E2T (Ube2t))

    Autre désignation

    ubiquitin conjugating enzyme E2 T

    Sujet

    The covalent conjugation of ubiquitin to proteins regulates diverse cellular pathways and proteins. Ubiquitin is transferred to a target protein through a concerted action of a ubiquitin-activating enzyme (E1), a ubiquitin-conjugating enzyme (E2), such as UBE2T, and a ubiquitin ligase (E3) (Machida et al., 2006 [PubMed 16916645]).[supplied by OMIM]

    Poids moléculaire

    23 kDa

    ID gène

    29089

    UniProt

    Q9NPD8

    Pathways

    Chromatin Binding
Vous êtes ici:
Chat with us!