Tel:
+49 (0)241 95 163 153
Fax:
+49 (0)241 95 163 155
E-Mail:
orders@anticorps-enligne.fr

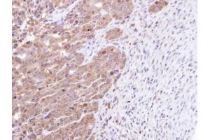
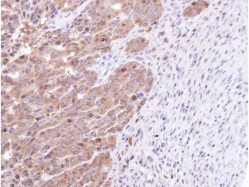
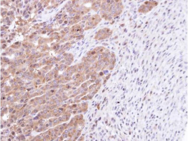
STK25 anticorps

Cet anticorps anti-STK25 Polyclonal Lapin (ABIN2856516) détecte spécifiquement STK25 dans WB, IHC (p), ICC et IF. L’anticorps est réactif avec des échantillons de Humain.
N° du produit ABIN2856516
583,17 €
Plus frais de livraison 40,00 € et TVA
100 μL
Destination: France
Envoi sous 7 à 10 jours ouvrables

Aperçu rapide pour STK25 anticorps (ABIN2856516)

Antigène

Voir toutes STK25 Anticorps
STK25 (serine/threonine Kinase 25 (STK25))

Reactivité

  • 41
  • 8
  • 4
  • 2
  • 2
  • 1
  • 1
  • 1
Humain

Hôte

  • 38
  • 3
Lapin

Clonalité

  • 39
  • 2
Polyclonal

Conjugué

  • 24
  • 5
  • 4
  • 4
  • 2
  • 2
Cet anticorp STK25 est non-conjugé

Application

  • 37
  • 25
  • 13
  • 6
  • 1
  • 1
  • 1
  • 1
  • 1
  • 1
Western Blotting (WB), Immunohistochemistry (Paraffin-embedded Sections) (IHC (p)), Immunocytochemistry (ICC), Immunofluorescence (IF)
  •  Réactivité croisée

    Humain

    Attributs du produit

    Rabbit Polyclonal antibody to STK25 (serine/threonine kinase 25 (STE20 homolog, yeast))
    STK25 antibody [N1C1]

    Purification

    Purified by antigen-affinity chromatography.

    Immunogène

    Recombinant protein encompassing a sequence within the center region of human STK25. The exact sequence is proprietary.

    Isotype

    IgG
  • Indications d'application

    WB: 1:500-1:3000. ICC/IF: 1:100-1:1000. IHC-P: 1:100-1:1000. Optimal dilutions/concentrations should be determined by the researcher. Not tested in other applications.

    Restrictions

    For Research Use only
  • Format

    Liquid

    Concentration

    0.21 mg/mL

    Buffer

    1XPBS ( pH 7), 1 % BSA, 20 % Glycerol, 0.025 % ProClin 300

    Agent conservateur

    ProClin

    Précaution d'utilisation

    This product contains ProClin: a POISONOUS AND HAZARDOUS SUBSTANCE which should be handled by trained staff only.

    Stock

    4 °C,-20 °C

    Stockage commentaire

    Store as concentrated solution. Centrifuge briefly prior to opening vial. For short-term storage (1-2 weeks), store at 4°C. For long-term storage, aliquot and store at -20°C or below. Avoid multiple freeze-thaw cycles.
  • Antigène

    STK25 (serine/threonine Kinase 25 (STK25))

    Autre désignation

    serine/threonine kinase 25

    Sujet

    Oxidant stress-activated serine/threonine kinase that may play a role in the response to environmental stress. Targets to the Golgi apparatus where it appears to regulate protein transport events, cell adhesion, and polarity complexes important for cell migration.

    Cellular Localization: Cytoplasm , Golgi apparatus

    Poids moléculaire

    48 kDa

    ID gène

    10494

    UniProt

    O00506
Vous êtes ici:
Chat with us!