Tel:
+49 (0)241 95 163 153
Fax:
+49 (0)241 95 163 155
E-Mail:
orders@anticorps-enligne.fr

PHKA1 anticorps (C-Term)

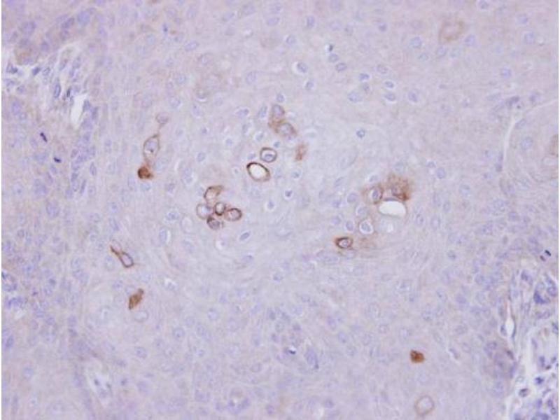
Cet anticorps anti-PHKA1 Polyclonal Lapin (ABIN2856675) détecte spécifiquement PHKA1 dans WB, IF, IHC (p) et ICC. L’anticorps est réactif avec des échantillons de Humain.
N° du produit ABIN2856675
583,17 €
Plus frais de livraison 40,00 € et TVA
100 μL
Destination: France
Envoi sous 7 à 10 jours ouvrables

Aperçu rapide pour PHKA1 anticorps (C-Term) (ABIN2856675)

Antigène

Voir toutes PHKA1 Anticorps
PHKA1 (phosphorylase Kinase, alpha 1 (Muscle) (PHKA1))

Reactivité

  • 19
  • 2
  • 2
  • 2
Humain

Hôte

  • 18
  • 2
  • 1
Lapin

Clonalité

  • 21
Polyclonal

Conjugué

  • 11
  • 2
  • 1
  • 1
  • 1
  • 1
  • 1
  • 1
  • 1
  • 1
Cet anticorp PHKA1 est non-conjugé

Application

  • 11
  • 8
  • 5
  • 4
  • 2
  • 2
  • 2
  • 2
  • 2
  • 2
  • 1
  • 1
  • 1
  • 1
Western Blotting (WB), Immunofluorescence (IF), Immunohistochemistry (Paraffin-embedded Sections) (IHC (p)), Immunocytochemistry (ICC)
  • Épitope

    • 4
    • 4
    • 1
    • 1
    • 1
    • 1
    • 1
    • 1
    C-Term

     Réactivité croisée

    Souris, Rat (Rattus)

    Réactivité croisée (Details)

    Mouse (96 %), Rat (95 %)

    Attributs du produit

    Rabbit Polyclonal antibody to PHKA1 (phosphorylase kinase, alpha 1 (muscle))
    PHKA1 antibody [C2C3], C-term

    Purification

    Purified by antigen-affinity chromatography.

    Immunogène

    Recombinant protein encompassing a sequence within the C-terminus region of human PHKA1. The exact sequence is proprietary.

    Isotype

    IgG
  • Indications d'application

    Suggested dilution Reference ICC/IF 1:100-1:1000* IHC (Formalin-fixed paraffin-embedded sections) 1:100-1:1000* Western blot 1:500-1:3000* Not tested in other applications. *Optimal dilutions/concentrations should be determined by the researcher.Suggested dilutionReferenceICC/IF1:100-1:1000* IHC (Formalin-fixed paraffin-embedded sections)1:100-1:1000* Western blot1:500-1:3000*

    Commentaires

    Positive Control: 293T , A431 , H1299 , HeLa

    Restrictions

    For Research Use only
  • Format

    Liquid

    Concentration

    1 mg/mL

    Buffer

    0.1M Tris, 0.1M Glycine, 10 % Glycerol ( pH 7). 0.01 % Thimerosal was added as a preservative.

    Agent conservateur

    Thimerosal (Merthiolate)

    Précaution d'utilisation

    This product contains Thimerosal (Merthiolate): a POISONOUS AND HAZARDOUS SUBSTANCE which should be handled by trained staff only.

    Stock

    -20 °C

    Stockage commentaire

    Keep as concentrated solution. Aliquot and store at -20°C or below. Avoid multiple freeze-thaw cycles.
  • Antigène

    PHKA1 (phosphorylase Kinase, alpha 1 (Muscle) (PHKA1))

    Autre désignation

    PHKA1

    Sujet

    The PHKA1 gene encodes the alpha subunit of muscle phosphorylase kinase (EC 2.7.1.38), a key regulatory enzyme of glycogen metabolism. Phosphorylase kinase consists of 4 copies of an alpha-beta-gamma-delta tetramer. The alpha, beta (PHKB, MIM 172490), and gamma (PHKG1, MIM 172470 and PHKG2, MIM 172471) subunits have several isoforms, the delta subunit is calmodulin (CALM1, MIM 114180). PHKA2 (MIM 306000) encodes the alpha subunit of liver-specific phosphorylase kinase and is also located on the X chromosome.[supplied by OMIM]

    Cellular Localization: Cell membrane, Lipid-anchor, Cytoplasmic side

    Poids moléculaire

    137 kDa

    ID gène

    5255

    Pathways

    Cellular Glucan Metabolic Process
Vous êtes ici:
Chat with us!