TACC2 anticorps (N-Term)
Aperçu rapide pour TACC2 anticorps (N-Term) (ABIN2856762)
Antigène
Voir toutes TACC2 AnticorpsReactivité
Hôte
Clonalité
Conjugué
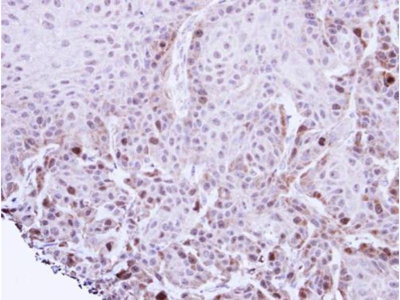
Application
-
-
Épitope
- N-Term
-
Réactivité croisée
- Humain
-
Attributs du produit
-
Rabbit polyclonal antibody to TACC2 (transforming, acidic coiled-coil containing protein 2)
TACC2 antibody -
Purification
- Purified by antigen-affinity chromatography.
-
Immunogène
- Carrier-protein conjugated synthetic peptide encompassing a sequence within the N-terminus region of human TACC2. The exact sequence is proprietary.
-
Isotype
- IgG
-
-
-
-
Indications d'application
- WB: 1:500-1:3000. IHC-P: 1:100-1:1000. Optimal dilutions/concentrations should be determined by the researcher. Not tested in other applications.
-
Commentaires
-
Positive Control: 293T , A431 , H1299 , HeLa , HepG2 , Molt-4 , Raji
-
Restrictions
- For Research Use only
-
-
-
Format
- Liquid
-
Concentration
- 0.28 mg/mL
-
Buffer
- 0.1M Tris-Glycine ( pH 7), 10 % Glycerol, 0.01 % Thimerosal
-
Agent conservateur
- Thimerosal (Merthiolate)
-
Précaution d'utilisation
- This product contains Thimerosal (Merthiolate): a POISONOUS AND HAZARDOUS SUBSTANCE which should be handled by trained staff only.
-
Stock
- 4 °C,-20 °C
-
Stockage commentaire
- Store as concentrated solution. Centrifuge briefly prior to opening vial. For short-term storage (1-2 weeks), store at 4°C. For long-term storage, aliquot and store at -20°C or below. Avoid multiple freeze-thaw cycles.
-
-
- TACC2 (Transforming, Acidic Coiled-Coil Containing Protein 2 (TACC2))
-
Autre désignation
- transforming acidic coiled-coil containing protein 2
-
Sujet
-
Transforming acidic coiled-coil proteins are a conserved family of centrosome- and microtubule-interacting proteins that are implicated in cancer. This gene encodes a protein that concentrates at centrosomes throughout the cell cycle. This gene lies within a chromosomal region associated with tumorigenesis. Expression of this gene is induced by erythropoietin and is thought to affect the progression of breast tumors. Several transcript variants encoding different isoforms have been found for this gene.
Cellular Localization: Cytoplasm , Nucleus , Centrosome -
Poids moléculaire
- 309 kDa
-
ID gène
- 10579
-
UniProt
- O95359
Antigène
-