Tel:
+49 (0)241 95 163 153
Fax:
+49 (0)241 95 163 155
E-Mail:
orders@anticorps-enligne.fr

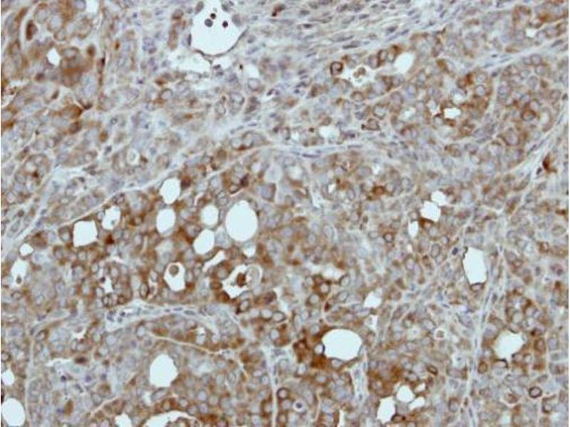
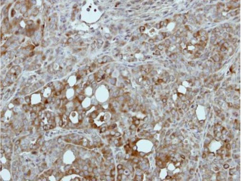
Pyruvate Kinase anticorps (Center)

L’anticorps anti-Pyruvate Kinase Polyclonal Lapin est utilisé pour la détection de Pyruvate Kinase dans des échantillons de Humain et Rat. Il a été validé pour WB, IF, IHC (p) et ICC.
N° du produit ABIN2856815
583,17 €
Plus frais de livraison 40,00 € et TVA
100 μL
Destination: France
Envoi sous 7 à 10 jours ouvrables

Aperçu rapide pour Pyruvate Kinase anticorps (Center) (ABIN2856815)

Antigène

Voir toutes Pyruvate Kinase (PK) Anticorps
Pyruvate Kinase (PK)

Reactivité

  • 8
  • 8
  • 7
  • 4
  • 3
Humain, Rat

Hôte

  • 8
  • 4
  • 2
Lapin

Clonalité

  • 14
Polyclonal

Conjugué

  • 12
  • 2
Cet anticorp Pyruvate Kinase est non-conjugé

Application

  • 12
  • 6
  • 4
  • 2
  • 2
  • 2
  • 1
  • 1
  • 1
Western Blotting (WB), Immunofluorescence (IF), Immunohistochemistry (Paraffin-embedded Sections) (IHC (p)), Immunocytochemistry (ICC)
  • Épitope

    • 3
    • 3
    • 2
    • 2
    • 1
    Center

    Specificité

    This antibody is raised against the R-Type isoform. Based on a BLAST result, it may also react with the L-Type isoform.

    Attributs du produit

    Rabbit Polyclonal antibody to Pyruvate Kinase (liver/RBC) (pyruvate kinase, liver and RBC)
    Pyruvate Kinase (liver/RBC) antibody

    Purification

    Purified by antigen-affinity chromatography.

    Immunogène

    Recombinant protein encompassing a sequence within the center region of human Pyruvate Kinase (liver/RBC). The exact sequence is proprietary.

    Isotype

    IgG
  • Indications d'application

    Suggested dilution Reference ICC/IF 1:100-1:1000* IHC (Formalin-fixed paraffin-embedded sections) 1:100-1:1000* Western blot 1:1000-1:10000* Not tested in other applications. *Optimal dilutions/concentrations should be determined by the researcher.Suggested dilutionReferenceICC/IF1:100-1:1000* IHC (Formalin-fixed paraffin-embedded sections)1:100-1:1000* Western blot1:1000-1:10000*

    Commentaires

    Positive Control: 293T , A431 , HeLa , HepG2 , A375 , rat liver

    Restrictions

    For Research Use only
  • Format

    Liquid

    Concentration

    1 mg/mL

    Buffer

    0.1M Tris, 0.1M Glycine, 10 % Glycerol ( pH 7). 0.01 % Thimerosal was added as a preservative.

    Agent conservateur

    Thimerosal (Merthiolate)

    Précaution d'utilisation

    This product contains Thimerosal (Merthiolate): a POISONOUS AND HAZARDOUS SUBSTANCE which should be handled by trained staff only.

    Stock

    -20 °C

    Stockage commentaire

    Keep as concentrated solution. Aliquot and store at -20°C or below. Avoid multiple freeze-thaw cycles.
  • Antigène

    Pyruvate Kinase (PK)

    Autre désignation

    Pyruvate Kinase

    Sujet

    The protein encoded by this gene is a pyruvate kinase that catalyzes the transphosphorylation of phohsphoenolpyruvate into pyruvate and ATP, which is the rate-limiting step of glycolysis. Defects in this enzyme, due to gene mutations or genetic variations, are the common cause of chronic hereditary nonspherocytic hemolytic anemia (CNSHA or HNSHA). Multiple transcript variants encoding different isoforms have been found for this gene.

    Poids moléculaire

    62 kDa

    ID gène

    5313
Vous êtes ici:
Chat with us!