Tel:
+49 (0)241 95 163 153
Fax:
+49 (0)241 95 163 155
E-Mail:
orders@anticorps-enligne.fr

Histone H3.3B anticorps (full length)

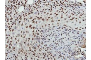
Il existe 1 publication pour ce produit. L’anticorps anti-Histone H3.3B Polyclonal Lapin est utilisé pour la détection de Histone H3.3B dans des échantillons de Humain, Souris et Rat. Il a été validé pour WB, IF, ICC et IHC (p).
N° du produit ABIN2856998
583,17 €
Plus frais de livraison 40,00 € et TVA
100 μL
Destination: France
Envoi sous 7 à 10 jours ouvrables

Aperçu rapide pour Histone H3.3B anticorps (full length) (ABIN2856998)

Antigène

Histone H3.3B (HIS3.3B)

Reactivité

Humain, Souris, Rat

Hôte

  • 3
Lapin

Clonalité

  • 3
Polyclonal

Conjugué

  • 3
Cet anticorp Histone H3.3B est non-conjugé

Application

  • 3
  • 2
  • 1
  • 1
  • 1
  • 1
  • 1
Western Blotting (WB), Immunofluorescence (IF), Immunocytochemistry (ICC), Immunohistochemistry (Paraffin-embedded Sections) (IHC (p))
  • Épitope

    • 1
    • 1
    full length

    Attributs du produit

    Rabbit Polyclonal antibody to Histone H3.3B (H3 histone, family 3B (H3.3B))
    Histone H3.3B antibody

    Purification

    Purified by antigen-affinity chromatography.

    Immunogène

    Full length human Histone H3.3B Recombinant protein.
  • Indications d'application

    WB: 1:500-1:20000, IHC-P: 1:100-1:1000 [suggested antigen retrieval using heat mediated 10 mM Citrate buffer ( pH 6.0) or Tris-EDTA buffer ( pH 8.0)], ICC/IF: 1:100-1:1000.
    Not yet tested in other applications.
    Optimal working dilutions should be determined experimentally by the end user.

    Restrictions

    For Research Use only
  • Format

    Liquid

    Concentration

    1 mg/mL

    Buffer

    1XPBS, 20 % Glycerol ( pH 7).
    0.01 % Thimerosal was added as a preservative.

    Agent conservateur

    Thimerosal (Merthiolate)

    Précaution d'utilisation

    This product contains Thimerosal (Merthiolate): a POISONOUS AND HAZARDOUS SUBSTANCE which should be handled by trained staff only.

    Stock

    -20 °C

    Stockage commentaire

    Keep as concentrated solution. Aliquot and store at -20°C or below.
    Avoid multiple freeze-thaw cycles.
  • Schroeder, Jakovcevski, Polacheck, Drori, Luoni, Röh, Zaugg, Ben-Dor, Albrecht, Chen: "Placental miR-340 mediates vulnerability to activity based anorexia in mice." dans: Nature communications, Vol. 9, Issue 1, pp. 1596, (2018) (PubMed).

  • Antigène

    Histone H3.3B (HIS3.3B)

    Autre désignation

    Histone H3.3B

    ID gène

    3021
Vous êtes ici:
Chat with us!