Tel:
+49 (0)241 95 163 153
Fax:
+49 (0)241 95 163 155
E-Mail:
orders@anticorps-enligne.fr

Spexin anticorps (Preproprotein)

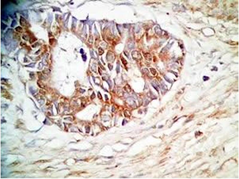
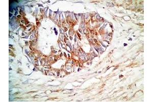
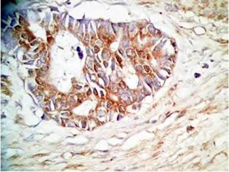
L’anticorps anti-Spexin Polyclonal Lapin est utilisé pour la détection de Spexin dans des échantillons de Humain. Il a été validé pour IHC.
N° du produit ABIN2873103
850,00 €
Plus frais de livraison 40,00 € et TVA
100 μL
Destination: France
Envoi sous 10 à 12 jours ouvrables

Aperçu rapide pour Spexin anticorps (Preproprotein) (ABIN2873103)

Antigène

Spexin (SPX)

Reactivité

  • 18
  • 7
  • 7
Humain

Hôte

  • 18
Lapin

Clonalité

  • 18
Polyclonal

Conjugué

  • 8
  • 5
  • 3
  • 1
  • 1
Cet anticorp Spexin est non-conjugé

Application

  • 5
  • 3
  • 2
Immunohistochemistry (IHC)
  • Épitope

    • 7
    • 6
    • 5
    AA 36-58, Preproprotein

    Purification

    unpurified serum

    Immunogène

    5-10 mg of > 70% pure peptide conjugated to KLH.
  • Indications d'application

    Optimal working dilution should be determined by the investigator.

    Restrictions

    For Research Use only
  • Format

    Liquid

    Stock

    4 °C,-20 °C

    Stockage commentaire

    Store antibodies at 2-4°C before and at -20°C after rehydration. The product is stable for approximately 3-6 weeks after rehydration at -20°C or below.
  • Antigène

    Spexin (SPX)

    Autre désignation

    Spexin
Vous êtes ici:
Chat with us!