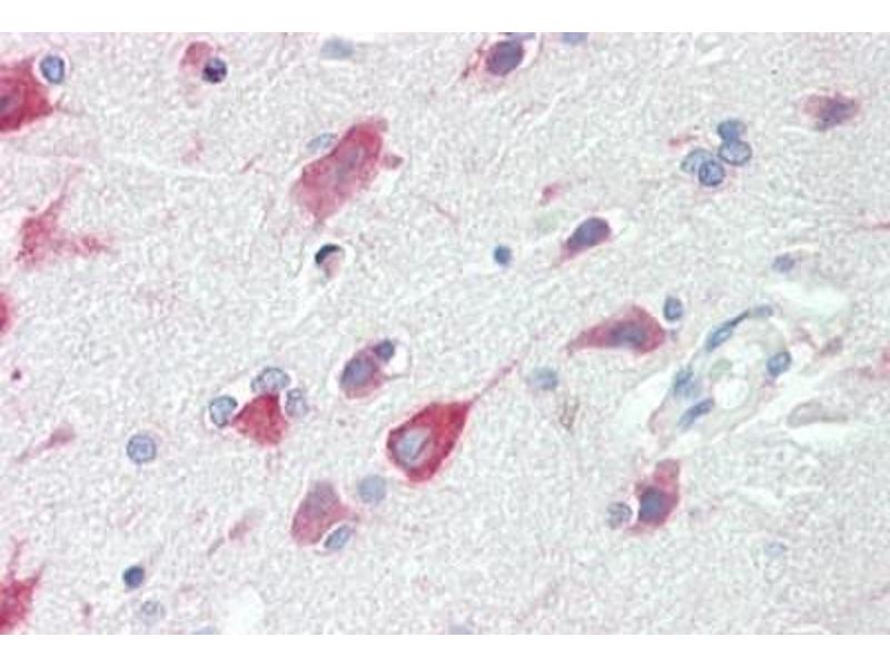
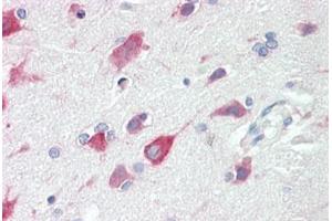
NAA15 anticorps (AA 221-270)
Aperçu rapide pour NAA15 anticorps (AA 221-270) (ABIN2879417)
Antigène
Voir toutes NAA15 AnticorpsReactivité
Hôte
Clonalité
Conjugué
Application
-
-
Épitope
- AA 221-270
-
Specificité
- NARG1 Antibody detects endogenous levels of total NARG1 protein.
-
Purification
- Immunoaffinity purified
-
Immunogène
-
Synthetic peptide from human NARG1 (aa221-270).
Type of Immunogen: Synthetic peptide -
Isotype
- IgG
-
-
-
-
Indications d'application
- Approved: IHC, IHC-P (1:100), Peptide-ELISA (1:20000), WB (1:500 - 1:1000)
-
Commentaires
-
Target Species of Antibody: Human
-
Restrictions
- For Research Use only
-
-
-
Format
- Liquid
-
Concentration
- Lot specific
-
Buffer
- PBS (without Mg2+, Ca2+), pH 7.4, 150 mM sodium chloride, 0.02 % sodium azide, 50 % glycerol
-
Agent conservateur
- Sodium azide
-
Précaution d'utilisation
- This product contains Sodium azide: a POISONOUS AND HAZARDOUS SUBSTANCE which should be handled by trained staff only.
-
Stock
- -20 °C
-
Stockage commentaire
- Store at -20°C for up to 1 year.
-
Date de péremption
- 12 months
-
-
- NAA15 (N(alpha)-Acetyltransferase 15, NatA Auxiliary Subunit (NAA15))
-
Autre désignation
- NARG1 / NAA15
-
Sujet
-
Name/Gene ID: NAA15
Synonyms: NAA15, Ga19, Gastric cancer antigen Ga19, Protein tubedown-1, Tubedown-1, NARG1, TBDN100, N-terminal acetyltransferase, NATH, NMDA receptor regulated 1 -
ID gène
- 80155
Antigène
-