Tel:
+49 (0)241 95 163 153
Fax:
+49 (0)241 95 163 155
E-Mail:
orders@anticorps-enligne.fr

GRO gamma anticorps (AA 150-200)

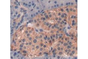
L’anticorps anti-GRO gamma Polyclonal Lapin est utilisé pour la détection de GRO gamma dans des échantillons de Humain. Il a été validé pour IHC et IHC (p).
N° du produit ABIN2879447
512,07 €
Plus frais de livraison 40,00 € et TVA
50 μL
Destination: France
Envoi sous 15 à 20 jours ouvrables

Aperçu rapide pour GRO gamma anticorps (AA 150-200) (ABIN2879447)

Antigène

Voir toutes GRO gamma Anticorps
GRO gamma (Growth Regulated Oncogene gamma (GRO gamma))

Reactivité

  • 22
  • 6
  • 2
  • 1
Humain

Hôte

  • 27
  • 3
  • 1
Lapin

Clonalité

  • 28
  • 3
Polyclonal

Conjugué

  • 17
  • 4
  • 3
  • 1
  • 1
  • 1
  • 1
  • 1
  • 1
  • 1
Cet anticorp GRO gamma est non-conjugé

Application

  • 22
  • 13
  • 10
  • 7
  • 5
  • 2
  • 1
  • 1
Immunohistochemistry (IHC), Immunohistochemistry (Paraffin-embedded Sections) (IHC (p))
  • Épitope

    • 4
    • 3
    • 1
    • 1
    AA 150-200

    Specificité

    Human CXCL3

    Purification

    Immunoaffinity purified

    Immunogène

    Synthetic peptide around Asn177 of human CXCL3

    Type of Immunogen: Synthetic peptide
  • Indications d'application

    Approved: IHC, IHC-P (1:100)

    Commentaires

    Target Species of Antibody: Human

    Restrictions

    For Research Use only
  • Format

    Liquid

    Concentration

    Lot specific

    Buffer

    PBS,  pH 7.2, 0.05 % sodium azide

    Agent conservateur

    Sodium azide

    Précaution d'utilisation

    This product contains Sodium azide: a POISONOUS AND HAZARDOUS SUBSTANCE which should be handled by trained staff only.

    Conseil sur la manipulation

    Avoid freeze-thaw cycles.

    Stock

    4 °C,-20 °C

    Stockage commentaire

    Store at 4°C short term. Aliquot and store at -20°C long term. Avoid freeze-thaw cycles.
  • Antigène

    GRO gamma (Growth Regulated Oncogene gamma (GRO gamma))

    Autre désignation

    CXCL3 / GRO Gamma

    Sujet

    Name/Gene ID: CXCL3
    Subfamily: Intercrine alpha
    Family: Intercrine

    Synonyms: CXCL3, C-X-C motif chemokine 3, GRO3 oncogene, Growth-regulated protein gamma, GRO3, GRO-gamma, GRO-gamma(1-73), MGSA gamma, MIP2B, MIP-2b, MIP2-beta, CINC-2b, GROg, SCYB3, Small inducible cytokine b3

    ID gène

    2921
Vous êtes ici:
Chat with us!