Tel:
+49 (0)241 95 163 153
Fax:
+49 (0)241 95 163 155
E-Mail:
orders@anticorps-enligne.fr

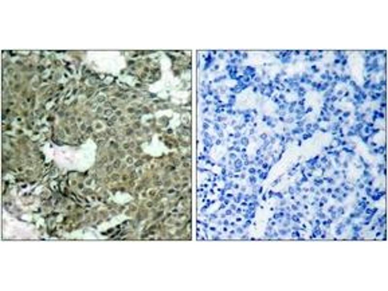
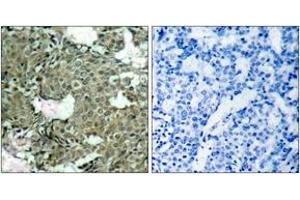
MEK1 + MEK2 anticorps (pSer221)

Cet anticorps anti-MEK1 + MEK2 Polyclonal Lapin (ABIN2888469) détecte spécifiquement MEK1 + MEK2 dans WB, IHC, IHC (p) et ELISA. L’anticorps est réactif avec des échantillons de Humain, Souris et Rat.
N° du produit ABIN2888469
741,67 €
Plus frais de livraison 40,00 € et TVA
Destination: France
Envoi sous 15 à 20 jours ouvrables

Aperçu rapide pour MEK1 + MEK2 anticorps (pSer221) (ABIN2888469)

Antigène

MEK1 + MEK2

Reactivité

  • 30
  • 22
  • 22
  • 4
  • 4
  • 3
  • 2
  • 1
  • 1
  • 1
  • 1
Humain, Souris, Rat

Hôte

  • 29
  • 1
Lapin

Clonalité

  • 28
  • 2
Polyclonal

Conjugué

  • 23
  • 1
  • 1
  • 1
  • 1
  • 1
  • 1
  • 1
Cet anticorp MEK1 + MEK2 est non-conjugé

Application

  • 22
  • 13
  • 9
  • 5
  • 4
  • 3
  • 2
  • 1
Western Blotting (WB), Immunohistochemistry (IHC), Immunohistochemistry (Paraffin-embedded Sections) (IHC (p)), ELISA
  • Épitope

    • 12
    • 9
    • 3
    • 3
    • 2
    • 2
    • 1
    • 1
    • 1
    • 1
    • 1
    • 1
    • 1
    • 1
    • 1
    • 1
    pSer221

    Specificité

    MEK1/2 (Phospho-Ser221) Antibody detects endogenous levels of MEK1/2 only when phosphorylated at serine221.

    Purification

    Immunoaffinity purified

    Immunogène

    Synthetic peptide from human MEK1/2 around the phosphorylation site of Ser221.

    Type of Immunogen: Synthetic peptide

    Isotype

    IgG
  • Indications d'application

    Approved: IHC, IHC-P (1:50 - 1:100), Peptide-ELISA (1:20000), WB (1:500 - 1:1000)

    Commentaires

    Target Species of Antibody: Human

    Restrictions

    For Research Use only
  • Format

    Liquid

    Concentration

    Lot specific

    Buffer

    PBS (without Mg2+, Ca2+),  pH 7.4, 150 mM sodium chloride, 0.02 % sodium azide, 50 % glycerol

    Agent conservateur

    Sodium azide

    Précaution d'utilisation

    This product contains Sodium azide: a POISONOUS AND HAZARDOUS SUBSTANCE which should be handled by trained staff only.

    Stock

    -20 °C

    Stockage commentaire

    Store at -20°C for up to 1 year.

    Date de péremption

    12 months
  • Antigène

    MEK1 + MEK2

    Autre désignation

    MEK1 + MEK2

    Sujet

    This antibody detects: MEK1 + MEK2
Vous êtes ici:
Chat with us!