Tel:
+49 (0)241 95 163 153
Fax:
+49 (0)241 95 163 155
E-Mail:
orders@anticorps-enligne.fr

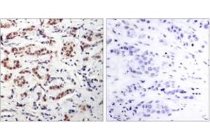
STAT5 A/B anticorps (pTyr694)

L’anticorps anti-STAT5 A/B Polyclonal Lapin est utilisé pour la détection de STAT5 A/B dans des échantillons de Humain, Souris et Rat. Il a été validé pour WB, IHC, ELISA et IHC (p).
N° du produit ABIN2888534
741,67 €
Plus frais de livraison 40,00 € et TVA
Destination: France
Envoi sous 15 à 20 jours ouvrables

Aperçu rapide pour STAT5 A/B anticorps (pTyr694) (ABIN2888534)

Antigène

STAT5 A/B

Reactivité

  • 55
  • 40
  • 40
  • 6
  • 6
  • 4
  • 3
  • 2
  • 1
  • 1
Humain, Souris, Rat

Hôte

  • 49
  • 7
Lapin

Clonalité

  • 32
  • 24
Polyclonal

Conjugué

  • 26
  • 4
  • 4
  • 4
  • 4
  • 4
  • 4
  • 4
  • 1
  • 1
Cet anticorp STAT5 A/B est non-conjugé

Application

  • 34
  • 24
  • 16
  • 14
  • 12
  • 12
  • 11
  • 7
  • 2
Western Blotting (WB), Immunohistochemistry (IHC), ELISA, Immunohistochemistry (Paraffin-embedded Sections) (IHC (p))
  • Épitope

    • 9
    • 9
    • 8
    • 4
    • 3
    • 3
    • 3
    • 3
    • 2
    • 1
    • 1
    • 1
    • 1
    • 1
    • 1
    • 1
    • 1
    • 1
    • 1
    pTyr694

    Specificité

    STAT5A (Phospho-Tyr694) Antibody detects endogenous levels of STAT5A only when phosphorylated at tyrosine694.

    Purification

    Immunoaffinity purified

    Immunogène

    Synthetic peptide from human STAT5A around the phosphorylation site of Tyr694.

    Type of Immunogen: Synthetic peptide

    Isotype

    IgG
  • Indications d'application

    Approved: IHC, IHC-P (1:50 - 1:100), Peptide-ELISA (1:20000), WB (1:500 - 1:1000)

    Commentaires

    Target Species of Antibody: Human

    Restrictions

    For Research Use only
  • Format

    Liquid

    Concentration

    Lot specific

    Buffer

    PBS (without Mg2+, Ca2+),  pH 7.4, 150 mM sodium chloride, 0.02 % sodium azide, 50 % glycerol

    Agent conservateur

    Sodium azide

    Précaution d'utilisation

    This product contains Sodium azide: a POISONOUS AND HAZARDOUS SUBSTANCE which should be handled by trained staff only.

    Stock

    -20 °C

    Stockage commentaire

    Store at -20°C for up to 1 year.

    Date de péremption

    12 months
  • Antigène

    STAT5 A/B

    Autre désignation

    STAT5A+B

    Sujet

    This antibody detects: STAT5 A+B
Vous êtes ici:
Chat with us!