Tel:
+49 (0)241 95 163 153
Fax:
+49 (0)241 95 163 155
E-Mail:
orders@anticorps-enligne.fr

Histone H2B anticorps (acLys5)

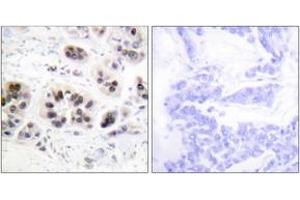
Cet anticorps Lapin Polyclonal détecte spécifiquement Histone H2B dans ELISA, IHC et IHC (p). Il présente une réactivité avec des échantillons de Humain, Souris et Rat.
N° du produit ABIN2890725
741,67 €
Plus frais de livraison 40,00 € et TVA
Destination: France
Envoi sous 15 à 20 jours ouvrables

Aperçu rapide pour Histone H2B anticorps (acLys5) (ABIN2890725)

Antigène

Voir toutes Histone H2B Anticorps
Histone H2B

Reactivité

  • 291
  • 155
  • 146
  • 21
  • 14
  • 9
  • 9
  • 5
  • 5
  • 5
  • 4
  • 3
  • 3
  • 2
  • 1
Humain, Souris, Rat

Hôte

  • 296
  • 23
  • 2
Lapin

Clonalité

  • 233
  • 88
Polyclonal

Conjugué

  • 199
  • 17
  • 9
  • 9
  • 9
  • 9
  • 9
  • 9
  • 8
  • 7
  • 5
  • 5
  • 2
  • 2
  • 2
  • 2
  • 2
  • 2
  • 2
  • 2
  • 2
  • 2
  • 2
  • 2
  • 2
Cet anticorp Histone H2B est non-conjugé

Application

  • 248
  • 103
  • 102
  • 73
  • 66
  • 34
  • 31
  • 27
  • 27
  • 26
  • 20
  • 7
  • 6
  • 6
  • 2
  • 2
  • 2
  • 1
  • 1
ELISA, Immunohistochemistry (IHC), Immunohistochemistry (Paraffin-embedded Sections) (IHC (p))
  • Épitope

    • 23
    • 15
    • 14
    • 11
    • 10
    • 10
    • 10
    • 10
    • 10
    • 9
    • 9
    • 8
    • 8
    • 6
    • 6
    • 6
    • 5
    • 5
    • 4
    • 4
    • 4
    • 3
    • 3
    • 3
    • 3
    • 3
    • 3
    • 3
    • 3
    • 3
    • 2
    • 2
    • 2
    • 2
    • 2
    • 2
    • 2
    • 2
    • 2
    • 2
    • 2
    • 2
    • 2
    • 2
    • 2
    • 2
    • 2
    • 2
    • 2
    • 2
    acLys5

    Specificité

    Histone H2A (Acetyl-Lys5) Antibody detects endogenous levels of total Histone H2A protein only when acetylated at lysine5.

    Purification

    Immunoaffinity purified

    Immunogène

    Synthetic peptide from human Histone H2A around the acetylated site of Lys5.

    Type of Immunogen: Synthetic peptide

    Isotype

    IgG
  • Indications d'application

    Approved: IHC, IHC-P (1:50 - 1:100), Peptide-ELISA (1:1000)

    Commentaires

    Target Species of Antibody: Human

    Restrictions

    For Research Use only
  • Format

    Liquid

    Concentration

    Lot specific

    Buffer

    PBS (without Mg2+, Ca2+),  pH 7.4, 150 mM sodium chloride, 0.02 % sodium azide, 50 % glycerol

    Agent conservateur

    Sodium azide

    Précaution d'utilisation

    This product contains Sodium azide: a POISONOUS AND HAZARDOUS SUBSTANCE which should be handled by trained staff only.

    Stock

    -20 °C

    Stockage commentaire

    Store at -20°C for up to 1 year.

    Date de péremption

    12 months
  • Antigène

    Histone H2B
Vous êtes ici:
Chat with us!