CCL13 anticorps (AA 24-98)
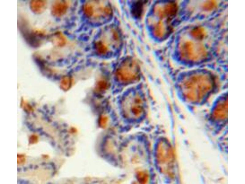
Cet anticorps Lapin Polyclonal détecte spécifiquement CCL13 dans WB, ELISA, IHC et IF/ICC. Il présente une réactivité avec des échantillons de Humain.
N° du produit ABIN2915318
462,00 €
Plus frais de livraison 40,00 € et TVA
Envoi sous 7 à 15 jours ouvrables
Aperçu rapide pour CCL13 anticorps (AA 24-98) (ABIN2915318)
Antigène
Voir toutes CCL13 Anticorps
CCL13
(Chemokine (C-C Motif) Ligand 13 (CCL13))
Reactivité
Humain
Hôte
Lapin
Clonalité
Polyclonal
Conjugué
Cet anticorp CCL13 est non-conjugé
Application
Western Blotting (WB), ELISA, Immunohistochemistry (IHC), Immunofluorescence (fixed cells) (IF/ICC)
-
-
Épitope
-
AA 24-98
-
Immunogène
-
MCP4 (Gln24-Thr98)
-
-
-
Restrictions
-
For Research Use only
-
-
Concentration
-
200 μg/mL
-
Antigène
-
CCL13
(Chemokine (C-C Motif) Ligand 13 (CCL13))
-
Autre désignation
-
Monocyte Chemotactic Protein 4
-
Pathways
-
Regulation of Systemic Arterial Blood Pressure by Hormones, Phosphorylation & l'infection par le SRAS-CoV-2
-