×
Pour une meilleure utilisation, nous vous conseillons d’activer Javascript dans votre navigateur.
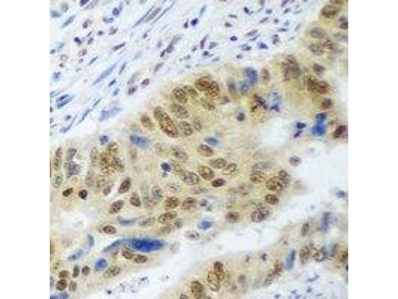
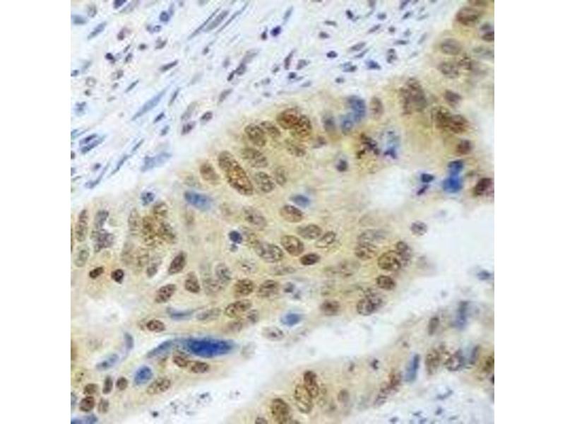
WDR48 anticorps
L’anticorps anti-WDR48 Polyclonal Lapin est utilisé pour la détection de WDR48 dans des échantillons de Humain, Rat et Souris. Il a été validé pour WB et IHC.
N° du produit ABIN7306828
330,77 €
Plus frais de livraison 40,00 € et TVA
30 μL ABIN7688643
50 μL ABIN7306829
100 μL ABIN7306828
200 μL ABIN2967147
30 μL ABIN7688643
50 μL ABIN7306829
100 μL ABIN7306828
200 μL ABIN2967147
Envoi sous 17 à 20 jours ouvrables
Aperçu rapide pour WDR48 anticorps (ABIN7306828)
Antigène
Voir toutes WDR48 Anticorps
WDR48
(WD Repeat Domain 48 (WDR48))
Reactivité
Humain, Rat, Souris
Hôte
Toutes les hôtes sur WDR48 Anticorps
Lapin
Clonalité
Toutes les clonalités sur WDR48 Anticorps
Polyclonal
Conjugué
Tous les conjugués à travers WDR48 Anticorps
Cet anticorp WDR48 est non-conjugé
Application
Tous les applications à travers WDR48 Anticorps.
Western Blotting (WB), Immunohistochemistry (IHC)
Détail du produit anti-WDR48 anticorps
(cache)
Fonction
Rabbit polyclonal antibody to WDR48
Specificité
Recognizes endogenous levels of WDR48 protein.
Attributs du produit
Rabbit polyclonal antibody to WDR48
Purification
The antibody was purified by immunogen affinity chromatography.
Immunogène
Recombinant fusion protein of human WDR48
Alternatives
(show)
Information d'application
(cache)
Indications d'application
WB (1/500 - 1/2000), IH (1/50 - 1/100)
Restrictions
For Research Use only
Stockage
(cache)
Format
Liquid
Buffer
Liquid in 0.42 % Potassium phosphate, 0.87 % Sodium chloride, pH 7.3, 30 % glycerol, and 0.01 % sodium azide.
Agent conservateur
Sodium azide
Précaution d'utilisation
This product contains Sodium azide: a POISONOUS AND HAZARDOUS SUBSTANCE which should be handled by trained staff only.
Stock
-20 °C
Stockage commentaire
Shipped at 4°C. Upon delivery aliquot and store at -20°C for one year. Avoid freeze/thaw cycles.
Date de péremption
12 months
Détails sur WDR48
(cache)
Antigène
WDR48
(WD Repeat Domain 48 (WDR48))
Autre désignation
WDR48
Sujet
KIAA1449, UAF1, WD repeat-containing protein 48, USP1-associated factor 1, WD repeat endosomal protein, p80
ID gène
57599, 67561
UniProt
Q8TAF3
Vus récemment
(cache)
Chat with us , powered by LiveChat